Mesothelioma

We provide an innovative approach to mesothelioma treatment. Our goal is to help people with mesothelioma live longer and with a higher quality of life.

Lung scan on a human, using a blue color to show the lungs.

Why choose UCLA Health for mesothelioma care? 

Since 1997, UCLA Health has cared for people with malignant pleural mesothelioma, a rare cancer linked to asbestos exposure. As a trusted international referral center, we deliver advanced treatments and provide compassionate guidance. 

Our team drives research forward, tailors each care plan, and supports patients at every step.
 

Highlights of our program

Comprehensive, multidisciplinary care: Every week, our tumor board meets to carefully review each patient’s case and create a personalized treatment plan. This team includes specialists in thoracic surgery, medical and radiation oncology, radiology, pathology, anesthesiology, interventional radiology, and nurse practitioners.

Innovative treatment options: We offer advanced treatments that aim to improve survival and quality of life. Options include lung-sparing surgery with targeted chest radiation, low-toxicity immunotherapy, chemotherapy, and biologic therapy. We also provide cryoablation to freeze cancer cells and Tumor Treating Fields (Optune Lua), a wearable device that helps slow tumor growth. Through clinical trials, patients may gain early access to promising new treatments.

Dedicated patient support: Our dedicated mesothelioma patient liaison helps guide patients through their care. From answering questions to coordinating appointments, the liaison offers education, support, and a steady point of contact throughout your journey. Many patients find this personalized guidance to be one of the most helpful parts of their experience at UCLA Health.

Access to care: For patients requiring radiation therapy for mesothelioma, we offer access to whole pleural radiation therapy at multiple locations, including UCLA Health in Los Angeles, Orange County, and the West Los Angeles Veterans Affairs Medical Center. This ensures that patients have access to expert mesothelioma care close to home.

Understanding malignant pleural mesothelioma

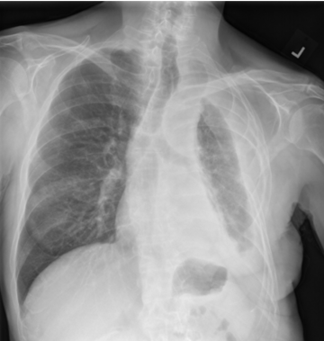
Chest X-ray showing a large fluid buildup around the left lung, which can be caused by mesothelioma and may lead to breathing difficulty.
Chest X-ray showing a large pleural effusion (fluid buildup) around the left lung, which can be caused by mesothelioma and may lead to breathing difficulty.

Malignant pleural mesothelioma is a rare but serious cancer that starts in the pleura, a thin layer of tissue that surrounds the lungs and lines the inside of the chest. 

Unlike lung cancer, mesothelioma begins in this outer lining, not in the lungs. Because the pleura covers areas like the heart, diaphragm, ribs, spine, and major blood vessels, the cancer can spread quickly.

The main cause of mesothelioma is exposure to asbestos, a harmful material that was once commonly used in buildings, insulation, and other products. Although its use has been limited for decades, asbestos can still be found in older homes and workplaces.

Types of mesothelioma

  • Epithelioid mesothelioma: The most common type. Treatment may include surgery, radiation, chemotherapy, freezing the cancer (cryoablation), and immunotherapy.
  • Sarcomatoid mesothelioma: A faster-growing type that can spread outside the chest. Treatment usually includes chemotherapy and immunotherapy.
  • Biphasic mesothelioma: A mix of the two main cell types. Doctors create a treatment plan based on how much of each type is present.
  • Rare types (like lymphohistiocytoid mesothelioma): Uncommon forms that are treated based on their specific features, often using a mix of treatments.

Who is at risk for mesothelioma?

Because mesothelioma is usually caused by asbestos exposure, some jobs carry a higher risk. These include jobs where people work with or around materials that may contain asbestos.

Higher-risk industries include:

  • Construction and renovation
  • Shipbuilding
  • Manufacturing and industrial work
  • Mining and talc processing
  • Firefighting
  • Military and defense
  • Automotive repair and manufacturing
  • Railroad and heavy equipment
  • Oil refineries
  • Chemical plants
  • Power plants

In some cases, talc (talcum powder) may contain asbestos. This happens because talc and asbestos can naturally occur close together under the ground. 

Products that might contain talc include:

  • Baby powder (older formulas often used talc)
  • Makeup (such as blush, foundation, and eyeshadow)
  • Certain medications (talc can be used as a filler)
  • Household and art supplies (like crayons and chalk)

Contact UCLA Health for expert mesothelioma care

If you or a loved one has been diagnosed with mesothelioma, our expert team is here to help.

  • To request an appointment with our mesothelioma care team call 310-267-4612.
  • For help or more information, call our mesothelioma nurse practitioner at 310-818-1304.