Mesothelioma

Diagnosis and Staging

Diagnosis and staging of malignant pleural mesothelioma

Our expert team uses state-of-the-art technology and precise procedures to diagnose mesothelioma and see how far it has spread. With this information, we create a personalized treatment plan tailored to each patient. 

Healthy lung compared to mesothelioma

Pleural mesothelioma
Pleural mesothelioma is a tumor that involves the thin tissue covering the inside of the chest wall (the parietal pleura) and the thin tissue covering the lung (the visceral pleura).

Diagnosis

Diagnosing malignant pleural mesothelioma often begins with imaging tests followed by procedures to collect tissue samples. These tests help confirm the presence of cancer and identify where it is located.

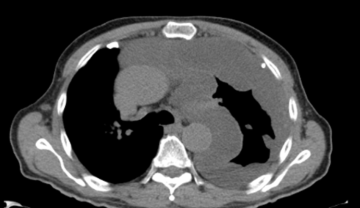
CT scan showing pleural effusion (fluid buildup) around the left lung, which can be a sign of mesothelioma.
CT scan showing pleural effusion (fluid buildup) around the left lung, which can be a sign of mesothelioma.

CT Scan

A CT scan is commonly used to help diagnose mesothelioma by providing detailed images of the chest or abdomen.

CT guided core needle biopsy

This is a procedure when a needle is inserted into the tumor to sample it, under guidance of a CT scan. It is often indicated for larger tumors. More information. 

Thoracoscopy with biopsy

This minimally invasive surgical procedure uses a small camera inserted through a tiny incision in the chest and has high accuracy for diagnosing mesothelioma. Pleurodesis is often performed during the same procedure to treat pleural effusion, which is a buildup of fluid in the chest cavity.

Anatomical illustration of a ribcage with muscle detail and a surgical tool.
A thoracoscopy operation is one in which a small camera is inserted into the chest to obtain a biopsy of what could be a mesothelioma tumor.

Staging

Staging helps determine how far mesothelioma has spread and plays a key role in choosing the right treatment. The most common system used is the TNM staging system, developed by the American Joint Committee on Cancer (AJCC):

  • T (Tumor) describes the size and location of the main tumor
  • N (Node) shows whether nearby lymph nodes are involved
  • M (Metastasis) indicates if the cancer has spread to other parts of the body

The TNM system is not a test itself, but a way to categorize the cancer using results from various diagnostic procedures. The following tests are commonly used to help determine the stage of mesothelioma:

MRI

An MRI is sometimes used to help stage mesothelioma by showing detailed images of soft tissues. It can help detect if the cancer has spread to areas like the chest wall, diaphragm, or muscles. This information is useful for planning surgery or other treatments

Integrated PET-CT scan

This test combines two powerful scans into one: a CT scan and a PET scan. The CT shows detailed pictures of the body, and the PET scan shows areas where the cancer is active. Together, they help doctors see how far the cancer has spread. More information.

Endobronchial ultrasound (EBUS)

EBUS is a less invasive way to examine and biopsy lymph nodes in the chest. A special camera with ultrasound is passed through the airways to reach the lymph nodes and take a sample.

Illustration of endobronchial ultrasound (EBUS) related to pleural mesothelioma.
Endobronchial ultrasound (EBUS) is a bronchoscopy procedure in which a small telescope is inserted through the mouth into the airways to biopsy lymph nodes in the middle of the chest.

Cervical mediastinoscopy

This is a short procedure where doctors make a small cut in the lower neck to look at and biopsy the lymph nodes in the middle of the chest. This helps check whether the cancer has spread beyond the lungs.

Diagram showing medical procedure for lung access with syringe and catheter.
A cervical mediastinoscopy operation is one in which a small incision is made in the lower next and a small scope (mediastinoscope) is inserted into the chest to biopsy lymph nodes in the middle of the chest.

Diagnostic laparoscopy

Sometimes mesothelioma can spread from the chest to the belly. In this procedure, a small camera is placed through a tiny cut in the abdomen to check for signs of cancer in the abdominal area.

Surgical illustration showing hands holding instruments above an opened abdomen.
Diagnostic laparoscopy is an operation in which two small incisions are made on the abdomen. A camera and a biopsy instrument are inserted to see whether the mesothelioma tumor has spread into the abdominal cavity.

Learn more about mesothelioma care at UCLA Health

Advanced Treatments
Advanced Treatments
Our Expert Team
Our Expert Team
For Patients
For Patients