Radiation Oncology

Breast Cancer

Radiation Therapy for Breast Cancer

UCLA Multidisciplinary Expert Care

Radiation therapy has a long history in the treatment of breast cancer. It is used in most patients undergoing breast conservation. Breast conservation is the treatment of choice for most early stage breast patients in the U.S. today.

Radiation therapy is also used in patients following mastectomy (breast removal) if certain "high risk" features are identified.

pink bow

In several clinical trials, radiation has been found to not only reduce the chance of local recurrence, but also improve patient survival.

At UCLA there are several techniques available to treat breast cancer

These techniques include:

Fig. 1: Whole breast radiation therapy
Fig. 1: Whole breast radiation therapy

Whole breast radiation therapy (fig 1)

  • Standard fractionation – 6.5 weeks
  • Hypofractionation – 3-4 weeks

Partial breast irradiation (PBI) (fig 2&3)

  • External Beam
  • Balloon based implant
  • Interstitial needle implant
  • Intraoperative (IORT) – One treatment One day
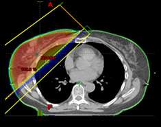
breast external beam
Fig. 2: Partial breast external beam

Possible Side Effects of Radiation Therapy for Breast Cancer

Side effects are usually temporary and usually go away shortly after treatment ends. Below is a list of possible side effects you might notice during your treatment. However, ask your doctor what you can expect from your specific treatment.

  • Skin irritation similar to a sunburn, sometimes with a peeling reaction toward the end of treatment.
  • Mild to moderate breast swelling.
  • Mild tenderness in the breast or chest wall. This will slowly get better over time.
  • Mild fatigue that generally gets better a month or two after treatment ends. Many of these side effects can be controlled with medications. Tell your doctor or nurse if you experience any discomfort so they can help you feel better. After the short-term side effects of radiation therapy resolve, others may become noticeable months or years later.
  • Breast firmness or mild shrinkage.
  • Change in skin tone, rarely with fine blood vessels present.
  • Scarring of a small part of the lung just under the breast. Generally, no side effects are noticed but rarely it may cause a dry cough or shortness of breath that is treatable.
  • Mild decreased range of motion.
  • Hand or arm swelling, called lymphedema, can occur but depends upon the extent of surgery and radiation.
  • Heart injury is rare with modern treatment techniques for left-sided breast cancers.
breast image
Fig. 3: Partial breast brachytherapy (Balloon based and Implant based)

Rarely, new tumors can be caused by radiation, but in breast cancer the benefits of treatment should outweigh the risks. Many factors affect your risk for these side effects.

Please talk to your radiation oncologist to learn more about how likely these side effects may be for you.

The following UCLA Radiation Oncologists specialize in treatment of breast cancer:

Susan A. McCloskey, MD, MSHS
Accepting New Patients
Radiation Oncology
Santa Monica Radiation Oncology |
1223 16th Street, Suite 1100 Santa Monica, CA 90404
John V. Hegde, MD
Accepting New Patients
Radiation Oncology
Santa Monica Radiation Oncology |
1223 16th Street, Suite 1100 Santa Monica, CA 90404
Dr. Michael Steinberg, wearing glasses and a dark suit with striped tie, smiling in a professional headshot.
Accepting New Patients
Radiation Oncology
Westwood Radiation Oncology |
200 Medical Plaza, Suite B265 Los Angeles, CA 90095