New hydrogels show promise in treating bone defects

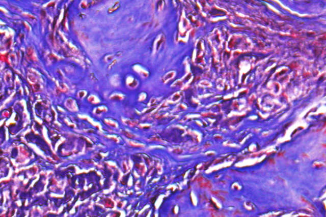
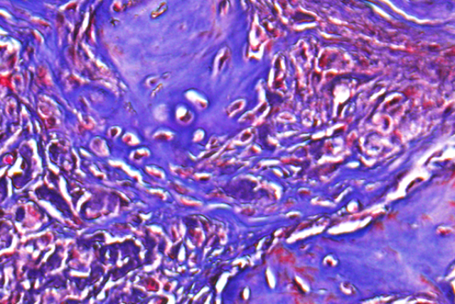
 Microscopic image of regenerated bone tissue, showing a complex network of interconnected bone structures in various shades of red and purple, from the Min Lee Lab at UCLA Health.
Shown is a microscopic image of regenerated bone in a skull defect in a mouse

Bioengineers and dentists from the UCLA School of Dentistry have developed a new hydrogel that is more porous and effective in promoting tissue repair and regeneration compared to hydrogels that are currently available. Once injected in a mouse model, the new hydrogel is shown to induce migration of naturally occurring stem cells to better promote bone healing. Current experimental applications using hydrogels and stem cells introduced into the body or expensive biological agents can come with negative side effects.

The findings, published online in the journal Nature Communications, suggest that in the near future the next generation of hydrogel systems could greatly improve current biomaterial-based therapeutics to repair bone defects.

Hydrogels are biomaterials that are made up of a 3D network of polymer chains. Due to the network’s ability to absorb water and its structural similarities to living tissue, it can be used to deliver cells to defective areas to regenerate lost tissue. However, the small pore size of hydrogels limits the survival of transplanted cells, their expansion and new tissue formation, making this less than ideal for regenerating tissue.

One material that has caught on in the field of biomaterials is the naturally occurring mineral, clay. Clay has become an ideal additive to medical products with no reported negative effects. It has been shown to be biocompatible and is readily available.

The clay is structured in layers, with the surface having a negative charge. The unique layered structure and charge were important to researchers as their hydrogels had a positive or opposite charge. When the hydrogel was inserted into the clay layers, through a process called intercalation chemistry, the end result was a clay-enhanced hydrogel with a much more porous structure that could better facilitate bone formation.

Once they had their clay-enhanced hydrogel, the researchers used a process called photo-induction, or the introduction of light, to turn their new biomaterial into a gel, which would make it easier to be injected into their mouse model.

The mouse model had a non-healing skull defect, which the researchers injected with their clay-enhanced hydrogel. After six weeks, they found that the model showed significant bone healing through its own naturally occurring stem cell migration and growth.

“This research will help us develop the next generation of hydrogel systems with high porosity and could greatly improve current bone graft materials,” said lead author Min Lee, professor of biomaterials science at the UCLA School of Dentistry and a member of the Jonsson Comprehensive Cancer Center. “Our nanocomposite hydrogel system will be useful for many applications, including therapeutic delivery, cell carriers and tissue engineering.”

Injectable combinations of living cells and bioactive molecules using hydrogels would be a preferred medical application to treat unhealthy or damaged areas of the body rather than more invasive surgery. 

Future research is planned to learn how the physical properties of nanocomposite hydrogels affect the migration of cells and their function, as well as the formation of blood vessels.

Other authors of the study are co-first author Zhong-Kai Cui, an assistant professor of cell biology at Southern Medical University in China; and Dr. Benjamin Wu, Dr. Tara Aghaloo, Jessalyn Baljon and Soyon Kim, all of UCLA. 

The study was funded by the National Institute of Dental and Craniofacial Research, the National Institute of Arthritis and Musculoskeletal and Skin Diseases, the U.S. Department of Defense and MTF Biologics. The authors have no conflicting interests.