Antioxidant found in grapes uncorks new targets for acne treatment

The team also found that combining resveratrol with a common acne medication, benzoyl peroxide, may enhance the drug’s ability to kill the bacteria and could translate into new treatments.

Published in the current online edition of the journal Dermatology and Therapy, the early lab findings demonstrated that resveratrol and benzoyl peroxide attack the acne bacteria, called Propionibacterium acnes, in different ways.

Resveratrol is the same substance that has prompted some doctors to recommend that adults drink red wine for its heart-health properties. The antioxidant stops the formation of free radicals, which cause cell and tissue damage. Benzoyl peroxide is an oxidant that works by creating free radicals that kill the acne bacteria.

“We initially thought that since actions of the two compounds are opposing, the combination should cancel the other out, but they didn’t,” said Dr. Emma Taylor, the study’s first author and an assistant clinical professor of medicine in the division of dermatology at the David Geffen School of Medicine at UCLA. “This study demonstrates that combining an oxidant and an antioxidant may enhance each other and help sustain bacteria-fighting activity over a longer period of time.”

The team grew colonies of the bacteria that causes acne and then added various concentrations of resveratrol and benzoyl peroxide both alone and together. The researchers monitored the cultures for bacterial growth or killing for 10 days.

They found that benzoyl peroxide was able to initially kill the bacteria at all concentration levels, but the effect was short lived and didn’t last beyond the first 24 hours.

Resveratrol didn’t have a strong killing capability, but it inhibited bacterial growth for a longer period of time. Surprisingly, the two compounds together proved the most effective in reducing bacteria counts.

“It was like combining the best of both worlds and offering a two-pronged attack on the bacteria,” said senior author Dr. Jenny Kim, professor of clinical medicine in the division of dermatology at the Geffen School.

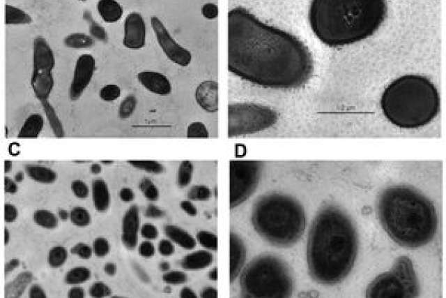
Scientists have understood for years how benzoyl peroxide works to treat acne, but less has been known about what makes resveratrol effective — even though it has been the subject of previous studies. Using a high-powered microscope, the UCLA researchers observed that bacteria cells lost some of the structure and definition of their outer membranes, which indicated that resveratrol may work by altering and possibly weakening the structure of the bacteria.

The researchers also cultured human skin cells and blood cells with the two compounds to test their toxicity. They found that benzoyl peroxide was much more toxic than resveratrol, which could help explain what causes skin to become red and irritated when it’s used as a topical treatment in high dose or concentration.

Taylor noted that combining the two compounds allowed for prolonged antibacterial effects on the acne bacteria while minimizing its toxicity to other skin cells. The finding could lead to a more effective and less irritating topical acne therapy.

“We hope that our findings lead to a new class of acne therapies that center on antioxidants such as resveratrol,” Taylor said.

The next stage of research will involve further laboratory testing to better understand the mechanism of the two compounds. Additional research will be needed to validate the findings in patients.

Millions suffer from acne, and it has a significant psychosocial effect on patients, but limited progress has been made in developing new strategies for treating it. According to researchers, antibiotic resistance and side effects limit the efficacy of the current treatments, which include benzoyl peroxide, retinoids, antibiotics and Accutane (isotretinonin).

The study was funded in part by a Women’s Dermatologic Society Academic Research Grant and the National Institutes of Health (RO1 AR053542).

A patent application has been filed for the combination treatment of benzoyl peroxide and resveratrol, which is owned by the University of Calfironia Regents and managed by the UCLA Office of Intellectual Property and Industry Sponsored Research. Other disclosures are available in the manuscript.

Media Contact:
Rachel Champeau
(310) 794-2270
[email protected]

Related Content

Articles:

Media Contact

Rachel Champeau
(310) 794-2270
[email protected]
Share:

Related Articles