Crowdsourcing the brain: Meta-atlas reveals new clues about development and disease

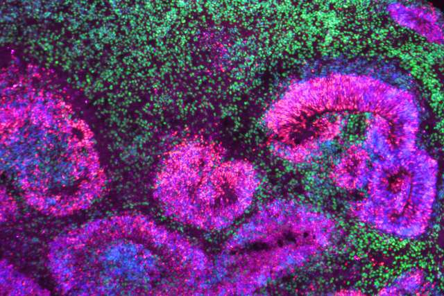
Microscopy image of a cortical organoid, a stem cell-derived model that mimics the developing human brain. The circular rosettes are clusters of neural stem cells giving rise to neurons, shown in green.
Microscopy image of a cortical organoid, a stem cell-derived model that mimics the developing human brain. The circular rosettes are clusters of neural stem cells giving rise to neurons, shown in green. | Credit: Jose Soto/Bhaduri Lab

One in three Americans is likely to be affected by a brain disorder in their lifetime. Many of these conditions, such as Alzheimer’s disease or severe developmental disorders, have no reliable treatment.

To develop therapies for these complex and often devastating conditions, scientists need to first understand how the brain works — and how it came to be. A new UCLA study leverages computational methods and vast troves of existing data to bring us closer to answering one of the most profound questions in biology: How does the brain build itself? 

The research, published in Nature Neuroscience, presents a first-of-its-kind resource for scientists studying brain development and disease, and establishes a model that researchers investigating other organ systems can use to harvest new insights from existing data.

Senior author Aparna Bhaduri, PhD, assistant professor of biological chemistry at the David Geffen School of Medicine at UCLA and member of the Eli and Edythe Broad Center of Regenerative Medicine and Stem Cell Research at UCLA, and first author Patricia Nano, a postdoctoral scholar in the Bhaduri lab, break down the new findings.

What are the key takeaways from your study? 

Nano: There are two big developments in the paper. First, we brought together many existing datasets that map different regions and developmental time points of the human brain. Each of those datasets offers valuable information but individually, only tells part of the story. So, we created a computational method to unify them into two ‘meta-atlases’: one for the adult brain and one for the developing brain.

Second, we used a new pipeline to study these meta-atlases and pinpoint more than 500 gene networks that drive how different brain cell types form. So, it’s not just about what cell types exist, but also the precise molecular and genetic cues that guide their development.

Bhaduri: Patricia created these resources that give us a much more streamlined view of the different parts of the brain and how they come about. But she didn’t stop there. In doing this work, she came up with a bunch of hypotheses about how brain development happens. She then used brain organoid models — 3D brain tissue grown from human stem cells — to test these hypotheses.

The exciting part is, she kept discovering new and interesting ways that the developmental machinery works in human brain cells — some of which are different from what we see in mice.

Can you explain what a meta-atlas is and why it’s important?

Nano: Thanks to funding from the National Institutes of Health BRAIN Initiative, researchers have created dozens of cell atlases that are essentially maps and “parts lists” detailing the cell types and molecular properties of different areas of the human brain.

The challenge is that making a single, comprehensive atlas of the human brain across all regions and stages of development is nearly impossible — there’s just too much complexity. Instead of building an atlas from scratch, we asked: What if we combine all the knowledge that’s already out there?

To do this, we decided to create a meta-atlas, which is like stitching together many different brain maps into a single, unified view. This approach helps maximize the knowledge researchers have already generated and gives us a clearer understanding of brain development across both time and regions.

To give you a sense of the scale, our meta-atlas of the adult brain pulls together 16 atlases profiling 2.6 million cells from 274 individuals, and our meta-atlas of the developing brain pulls together seven atlases profiling almost 600,000 cells from 96 individuals.

Bhaduri: It’s a little bit like crowdsourcing — integrating data from all of these individual labs with their unique expertise to create something that’s greater than the sum of its parts.

What most excites you about these findings? 

Bhaduri: Patricia made these datasets available online and we’ve been hearing from other scientists who are using them to make discoveries and advance their research. And it’s not just other labs with a similar research focus but people studying everything from neuropsychiatric disorders to autism. Half of my lab’s focus is on glioblastoma, and we used these resources to identify a new cell type in deadly brain tumors.

Even outside of the brain, I’ve had colleagues reach out who are interested in using this computational method to generate meta-atlases of the organs they study, like the skin. I think there’s enthusiasm for this concept and I’m excited that people can follow these steps to maximize existing knowledge about their systems of interest and find some new insights.

How do resources like these bring us closer to new treatments for brain disorders?

Nano: I wouldn’t blame people for asking, “OK you made a list of a bunch of genes. So what? Who cares if you know what all these cells are?” My answer is that a big reason we don’t have great treatments for so many brain disorders is because there’s still so much we have to learn about this organ.

In order to fix it, we first need to know how it works. By gaining a clear picture of how the human brain develops its vast array of cell types and how these cell types work together, we can figure out what happens when these processes get disrupted — and what we can do to fix that.

Beyond that, researchers working to develop regenerative stem cell therapies can use the meta-atlases to benchmark the cells they’re making against stem cells from actual human brains. If the stem cells they’re making aren’t up to par, they can dig into the data to find the gene programs they need to activate to make their cells better mimic the ones in an actual human brain.

Bhaduri: To add to the list of examples, many of the gene programs active in the developing brain are also active in brain cancer. My lab has been using the developmental meta-atlas to map and understand the cells involved in these programs and how they’re functioning with the ultimate goal of developing new treatments for glioblastoma.

What are the next steps in the study?

Nano: We’re going to keep adding new datasets for other parts of the brain, including ones that have never been accessed before, to make a bigger, deeper and more comprehensive atlas. We’ll also continue to use this resource to study gene programs implicated in neuropsychiatric and neurodegenerative diseases as well as in brain cancer.

Bhaduri: In the long term, I’d love for this study and all the work that builds on it to help humans gain a really strong understanding of how our brains come to be. And, when something goes wrong, how we can tinker with that in a way that creates a healthy brain for life. We really do have the tools to be able to get there — as long as we as a society continue to make supporting research a priority.

This research was funded by the National Institutes of Health, the Brain & Behavior Research Foundation, the Alfred P. Sloan Foundation, the Rose Hills Foundation, the Esther A. & Joseph Klingenstein Fund, the Simons Foundation, the NIH BRAIN Initiative Cell Atlas Network, an Ablon Scholar Award, the UCLA Broad Stem Cell Research Center Stem Cell Training Program and the California Institute for Regenerative Medicine.

Additional authors of the study include Elisa Fazzari, Daria Azizad, Antoni Martija, Claudia Nguyen, Sean Wang, Vanna Giang, Ryan Kan, Juyoun Yoo, Brittney Wick and Maximilian Haeussler.

Bhaduri is also a member of the UCLA Health Jonsson Comprehensive Cancer Center and UCLA Brain Research Institute.

Share: