Robert - brain tumor

UCLA Health Newsroom
Robert's son whispering into his ear

The Story of Robert

My husband, Bob, was diagnosed with a brain tumor on May 16, 2004.

Bob's tumor is located in his right occipital cortex, the area of the brain that controls vision. The diagnosis was made after he began having visual seizures (he would see a kaleidoscope of colors and lights in his right eye). Since he was born blind in his left eye, visual issues with his right eye are taken very seriously.

Bob started having MRI scans every 3 to 6 months to check for tumor growth. After every MRI we were told the same: "No Change." And we were elated!

This all changed on June 13, 2005. After his routine MRI in Florida, Bob's Neuro-Oncologist informed us that there had been tumor growth and it actually has been happening all along. We were shocked. Until that day, the radiologist routinely compared the newest MRI with the one taken months prior. Since the tumor grows so slowly (about .5 mm a month), no one noticed its change until the Neuro-Oncologist compared the scan from June, 2005 to the very first scan taken in July, 2004.

Because the tumor was growing, Bob decided to have it removed. We traveled to Ronald Reagan UCLA Medical Center for surgery with Dr. Linda Liau on September 12, 2005.

Robert standing outside with his wife leaning on his shoulder

Bob has been under Dr. Liau's care for three years now. In May of 2008, he underwent a second surgery to remove tumor re-growth. After surgery, Bob's pathology report indicated that the center of his tumor had evolved to a more aggressive stage - a Grade III. Not the best news, but on the same token, it qualified him for the Brain Tumor vaccine trial at UCLA.

Bob and I are both still numb to the news. We are not sure how to take it. The good part is that he is now in the trial, but this also puts him only one step away from a Grade IV (what Kennedy has) which can be terminal and a median survival rate of 14.8 months. That is unnerving.

Bob has started the Brain Tumor Vaccine Trial. His first injection went well. He will have 2 more injections bi-weekly then he will receive booster shots every 3 months.

We have started to raise funds to expand brain tumor clinical trials to include low-grade brain tumors and pediatric patients. These clinical trials are showing great success; therefore, we are committed to expanding these trials.

Please join us as we strive for a cure.

By Barb Gibbs

The case history of Robert

Robert is a 38 year-old right-handed man, born with congenital blindness of the left eye, who first presented with flashes of kaleidoscope-type color changes in his right eye around May 2004. His description of these symptoms were consistent with visual seizures, which are the abnormal, disorganized firing of neurons within the visual centers of the brain that may create the experience of flashes of light and/or color. Although he had had seizures in the past, these symptoms were new, so he underwent an MRI scan of his brain. MRI at the time revealed a mass in the occipital lobe, the main vision center of the brain, on the right side. After a trial of medical management with anti-seizure medications and serial MRI scans to see if the mass was actively growing, radiologic evidence of disease progression in September 2005 brought him to Ronald Reagan UCLA Medical Center in search of surgical treatment.

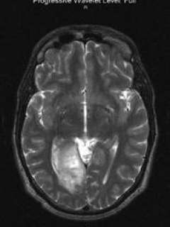
Dr. Linda Liau met Robert and decided that surgical resection of the mass would be the most appropriate treatment choice given his symptoms and increasing size of the lesion. As the mass was located in an area that would result in obvious neurologic deficits if disrupted (visual cortex), preoperative functional MRI (fMRI) and diffusion tensor imaging (DTI) data was obtained in order to help map out the relation of the mass to critical visual fibers for navigation in the OR. This helps the surgeon intraoperatively by guiding resection and avoiding areas critical for neurologic function. [Purple = visual fibers; yellow = tumor].

During the operation the mass was biopsied and found to be an oligodendroglioma, a low grade - less invasive - brain tumor. He tolerated the procedure well and no complications were experienced.

Robert remained in good health with no progression of disease until an MRI in November 2007 showed evidence of recurrent tumor. By this time, he had progressive loss of his left visual field, with only sparing of the central visual field on the left side. He was placed on Temodar chemotherapy, which he received 4 times over the course of 4 months, after which he underwent another craniotomy for further tumor resection in May 2008. Preoperative fMRI data was again integrated with anatomic images to help guide resection. The intraoperative biopsy of his tumor revealed that it had transformed into a more malignant variant called anaplastic oligodendroglioma. He had a gross total resection of his tumor. Postoperatively, Robert experienced difficulty with visual processing and a mild decrease in his visual fields. Since then he has enrolled in a Phase I dendritic cell vaccine trial at UCLA, a novel experimental therapy that utilizes the patient's own immune system to help fight off cancer. He has received his first two vaccinations and is doing well to date.

Preoperative functional MRI T2 axial view:

Preoperative functional MRI T2 axial view of Robert's brain

Diffusion tensor imaging 3D view:

Diffusion tensor imaging 3D view of Robert's brain
Share: