Macular OCT Imaging: Where Do We Stand?

Macular OCT Imaging

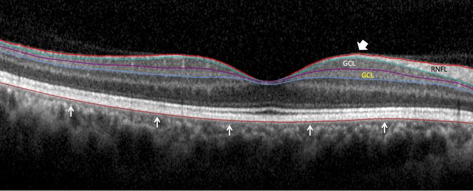
Recently published review of Macular OCT imaging in glaucoma
https://www.ncbi.nlm.nih.gov/pubmed/32199939

Recently published authoritative book on OCT imaging in glaucoma
https://link.springer.com/book/10.1007%2F978-3-319-94905-5

Optical Coherence Tomography (OCT) Book Cover

 

This book focuses on the practical aspects of Optical Coherence Tomography (OCT) in glaucoma diagnostics offering important theoretical information along with many original cases. OCT is a non-invasive imaging technique that acquires high-resolution images of the ocular structures. It enables clinicians to detect glaucoma in the early stages and efficiently monitor the disease. Optical Coherence Tomography in Glaucoma features updated information on technical applications of OCT in glaucoma, reviews recently published literature and provides clinical cases based on Cirrus and Spectralis OCT platforms. In addition, newer techniques like event and trend analyses for progression, macular ganglion cell analysis, and OCT angiography are discussed. 

This book will serve as a reference for ophthalmologists and optometrists worldwide with a special interest in OCT imaging providing essential guidance on the application of OCT in glaucoma.