Mittelman Lab
About Us
Our laboratory is interested in understanding the links between obesity and cancer mortality. Studies have shown that obese people have a substantially higher risk of dying from cancer than nonobese individuals. However, the reasons for this association are not fully understood. Obese children who are diagnosed with the most common childhood cancer, acute lymphoblastic leukemia (ALL), have a ~50% higher risk of leukemia relapse after treatment than nonobese children. Our lab is committed to understanding why these children have a poorer outcome, and developing strategies to reverse this effect. Our research has spans the translational gamut, including cell culture, preclinical models, clinical studies, and epidemiology.
Our Team
The Mittelman Laboratory consists of a diverse who conduct a wide variety of internationally recognized research projects.
Latest Research
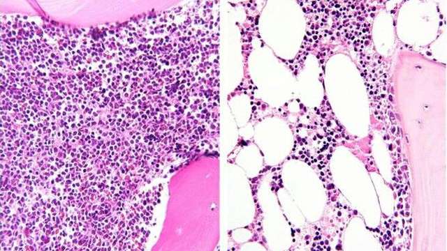
Adipocytes are Important Players in the Acute Lymphoblastic Leukemia (ALL) Microenvironment
Using mouse and tissue culture models, we have shown that obesity directly impacts the progression and treatment outcome of ALL. Mice which are prone to develop ALL do so earlier when they are made obese with a high-fat diet.