Illustration of a how a spleno_renal shunt works.

Interventional Radiology Breakthrough in Portal Vein Thrombosis Treatment
3/19/2026

A UCLA Health interventional radiologist has performed a first-ever percutaneous spleno-renal shunt procedure in a pediatric patient to relieve severe portal hypertension.

Edward Wolfgang Lee, MD, PhD, performed the procedure in December 2025 on a 6-year-old boy with life-threatening bleeding varices (abnormally dilated veins). The child is doing well, and Dr. Lee said he hopes the minimally invasive procedure will become widely available as an alternative to an open abdominal surgery.

 
 

“I think this procedure should be promoted and needs to be taught globally as countless children would benefit,” said Dr. Lee, professor of radiology and liver transplant surgery at the David Geffen School of Medicine at UCLA. “I think the long-term outcome is very promising.”

3D printing elevates surgery at UCLA Health

3D Printing Elevates Surgery at UCLA Health
6/26/2025

These are not photos or preserved specimens, but life-size models of a dull white plastic. Created by a 3D printer, the objects replicate real-life patient injuries and conditions. The 3D-printed bones are used to model orthopedic procedures and reduce time in the operating room.

"What makes 3D printing interesting for medicine is that it is one of the few technologies that allows you to make one of anything," said Darryl Hwang, PhD, clinical imaging IT specialist in the department of radiology at UCLA Health.

Sonny Sweetman plating food.

Novel Procedure Helps Treat Renowned Chef’s Rare Eye Cancer
08/01/2024

Minimally invasive approach gives a better treatment option to patients with metastatic uveal melanoma who have liver metastases that cannot be surgically removed.

What a ‘Good Catch’ in the MRI Suite Looks Like

What a ‘Good Catch’ in the MRI Suite Looks Like 
09/16/2022 

Harnessing her experience, training and intuition, a UCLA Health MRI technologist saves a patient from harm. Katelyn Williams is a literal lifesaver. An MRI technologist at UCLA Health, Williams prevented a life-threatening, dangerous medical event from happening in a patient being scanned at the UCLA Health North Hollywood Imaging and Interventional Center in November 2021.

UCLA doctor performs world’s first robotic embolization

UCLA Doctor Performs World’s First Robotic Embolization 
05/27/2022 

Dr. Tateshima, an interventional neuroradiologist and professor of radiological sciences, performed the world’s first fully robotic embolization in 2021. Since then, Dr. Tateshima has completed three more. And if his vision for the future of robotic procedures comes to fruition, that’s only the beginning.

Ashley E. Prosper, MD

Low-dose Lung Cancer Screenings can Reduce Death by at Least 20%, but Usage is Low 
11/16/2021

Annual screenings improve chances of catching disease early and new guidelines expand opportunities. Too few adults with a history of smoking are undergoing annual lung cancer screenings that can cut death rates by at least 20%.

Siddharth A. Padia, MD

Geniculate Artery Embolization: New Treatment for Knee Osteoarthritis 
04/05/2021

Dr. Sid Padia, an Interventional Radiologist at UCLA, published an update of findings of the Geniculate Artery Embolization study at the 2021 Society of Interventional Radiologists Annual Scientific Meeting.

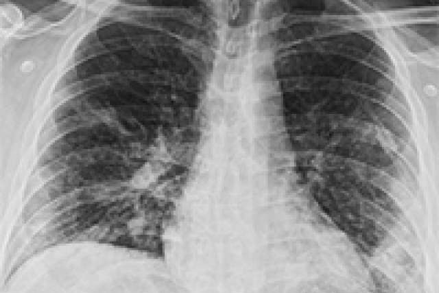
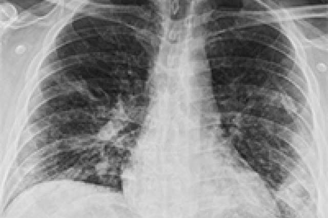
COVID-19 Chest X-Ray Guidelines

UCLA Chest X-Ray COVID-19 Guidelines
04/02/2020

In the setting of the COVID-19 pandemic, chest imaging plays a very important role in the early diagnosis and the treatment planning for patients with suspected or confirmed COVID-19 chest infections. The UCLA Department of Radiology’s Thoracic and Acute Care Imaging (ACI) sections recognized the importance of the chest x-ray in this setting, as it is readily available in the community physician offices, urgent care clinics and hospital emergency departments. To help physicians and radiologists in these settings, they have developed the UCLA Chest X-Ray COVID-19 Guidelines.

For submissions, please contact Radiology Marketing.