Uterine Artery Embolization
Find your care
You receive exceptional care and personalized pain management from an expert team. Call to connect with our fibroid experts.
OB/GYN appointments
If you’re looking to review fibroid treatment options with an OB/GYN provider or want a second opinion, please call: 310-794-7274
Radiology appointments
If you already have a provider helping you manage a fibroid condition and are interested in uterine artery embolization (UAE) treatment, please call 310-481-7545.
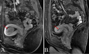
Uterine artery embolization (UAE), or uterine fibroid embolization (UFE), is a minimally invasive procedure. It successfully decreases and eliminates bleeding, pressure and pain in women with uterine fibroids or adenomyosis — a condition often mistaken for fibroids.
What is uterine artery embolization?
Uterine artery embolization (also known as UAE or UFE) is an alternative to surgery for women who have symptoms from fibroids or adenomyosis. The outpatient procedure preserves the uterus and is approved by the U.S. Food and Drug Administration (FDA).
An interventional radiologist (IR) performs fibroid embolization. These doctors have specialized experience with blood vessel imaging for diagnosing and treating certain health conditions.
The radiologist uses imaging to guide a small catheter (thin tube) into the arteries supplying the fibroids with blood. The radiologist then releases small particles called microspheres, blocking the targeted arteries and depriving them of blood. The fibroids and the uterus then decrease in size.
What types of fibroids can be treated?
Your doctor will determine which fibroids can be treated with uterine artery embolization. Generally, it can be used for submucosal, subserosal and intramural uterine fibroids. Read about what fibroids are, including the three main types.
Multiple fibroids can be treated in one session. Adenomyosis can be treated as well.
What are the benefits of uterine fibroid embolization?
After receiving uterine artery embolization, 85 to 90 percent of women experience significant or total relief from heavy bleeding, pain and symptoms related to uterus enlargement. The procedure is especially effective for multiple fibroids and large fibroids. Fibroid embolization also:
- Presents an alternative to hormone therapy, a type of fibroid treatment
- Provides an effective, minimally invasive alternative to surgery
- Involves just a short hospital stay
- Allows a quick return to normal activities
- Preserves the uterus, cervix and ovaries
- Significantly improves your quality of life
Could the fibroids come back after treatment?
Rarely, fibroids return after uterine artery embolization, even with successful relief of symptoms. (The same is true with all fibroid treatments other than hysterectomy.)
Fibroids usually grow slowly if they come back and don’t require additional intervention. But they can potentially grow enough to cause symptoms and require further treatment.
What will I experience during the treatment?
Fibroid embolization typically lasts one to two hours. You can go home the same day or choose to stay overnight to recover.
The procedure involves several steps:
- The doctor makes a tiny incision in the wrist or the groin.
- Using specialized X-ray equipment, the doctor passes a catheter to the arteries leading to the uterus.
- Upon reaching the proper location in the uterus, the doctor injects the microspheres through the catheter and into the fibroids’ blood flow.
- The doctor completes the embolization and then gently removes the catheter.
- The doctor applies pressure to the puncture site to prevent bleeding and places a small bandage.
- You may experience some discomfort, such as abdominal cramping or pain. You and your doctor will determine what medications you may need to stay comfortable.
Additional Videos