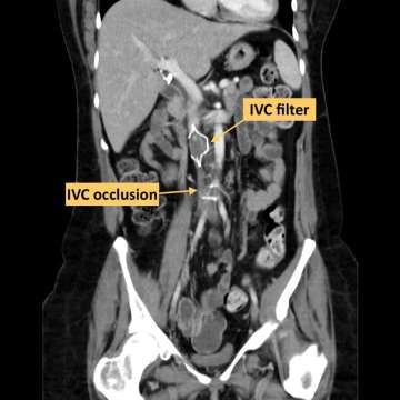
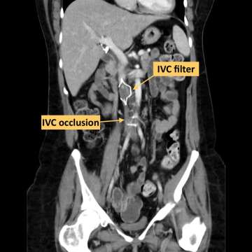
IVC Filter
IVC Occlusion
Find your care
Our clinic is nationally and internationally renowned for IVC filter removal. Call 310-481-7545 to learn more about the IVC Filter Clinic at UCLA Health.
When clot around the IVC filter remains there for an extended period it can lead to a complete permanent blockage of the IVC, also known as IVC occlusion. This leads to long term leg swelling, pain and immobility. Removing the IVC filter and then opening up the IVC to allow normal blood flow can lead to relief of these symptoms. This can be achieved by our expert IR team using minimally invasive techniques that allow patients to rapidly improve their quality of life, all without large surgical procedures.