Functions of CCN proteins in angiogenesis. In vitro studies have shown that CCN2/CTGF is a potent pro-angiogenic factor in vitro. Other in vitro studies have demonstrated ant-angiogenic properties. Using global and conditional mutant alleles of Ccn2, we find evidence that CCN2 is required for angiogenesis. For example, loss of CCN2 in the growth plate impairs VEGF expression and therefore, vascular invasion of the growth plate is defective. More recently, we have identified a direct role of CCN2 in endothelial cells. Loss in these cells leads to defective vascular remodeling. We are currently exploring the mechanisms by which CCN2 mediates this remodeling and pericyte recruitment. We are also investigating shared and unique functions of CCN2 and other CCN family members in angiogenesis.

CCN2 expression in endothelial cells
CCN2 expression in endothelial cells
Normal vascular patterning in Ccn2-/- mice
Normal vascular patterning in Ccn2-/- mice
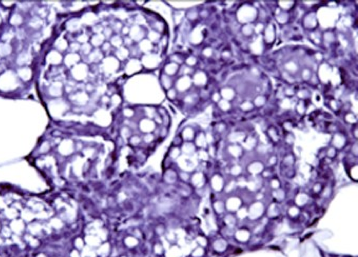
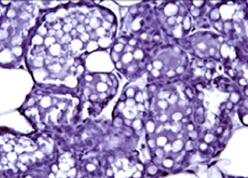
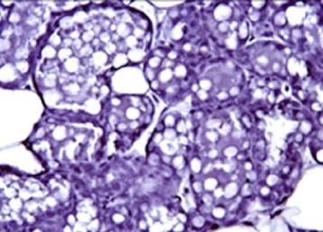
CCN2-EGFP expression in salivary gland
CCN2-EGFP expression in salivary gland
Mammary alveolar glands looked through a microscope.
Mammary alveolar glands

Functions of CCN proteins in epithelial tissues. Using BAC-EGFP transgenic mice as reporters of CCN1 and CCN2 expression, we have found that secretory epithelia are prominent sites of CCN2 expression. We are using K14-Cre in conjunction with floxed alleles of CCN1 and CCN2 to define the roles of these proteins in secretory (and other) types of epithelial cells. Our ongoing studies have revealed an essential function of CCN2 in mammary epithelium.