Radiology

How to Perform an MRI Guided Breast Biopsy

By Ethan Zaccagnino MD, and James Chalfant MD

The following guide is meant to serve as a general overview of an MRI guided breast biopsy. Depending on institutional preferences and equipment used, there may be mild variations in the steps for the procedure.

 

Step 1: Pre-Procedure

  • Discuss the risks, benefits, and alternatives to the procedure with the patient
  • Obtain written and verbal consent from the patient
  • MRI technologist brings the patient to the MRI suite

 

Step 2: Imaging

  • Technologist will gently compress the breast using a breast biopsy coil with grid localizer in place
  • Radiologist confirms appropriate compression of breast tissue and performs adjustments if necessary
  • Obtain images of the breast pre-contrast administration (fig 1) (sequences used can vary depending on institutional preferences)
Procedure: MR Guided Breast Biopsy Figure 1
Figure 1. Sagittal T1-weighted fat saturated pre contrast images demonstrate a biopsy grid overlying the lateral breast in compression. In this patient with silicone implants, the implant must be excluded during compression.
  • Radiologist and technologist perform additional adjustments of breast compression, if necessary, followed by repeat pre-contrast imaging
  • Administer MRI contrast and perform post-contrast imaging
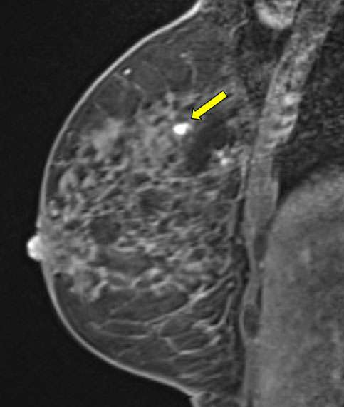
  • Identify the biopsy site and determine lesion location using the grid localizer and depth within the breast from the grid (fig 2). Depending on institution, biopsy targeting software and/or post-processed images (such as subtracted images or reformatted images) may be used.
Procedure MRI Guided Breast biopsy Figure 2
Figure 2. Sagittal T1-weighted fat saturated post contrast images demonstrate the biopsy target, a focus of enhancement.

 

Step 3: Procedure Preparation

  • Prepare the biopsy site in the usual sterile fashion
  • Drape the area with sterile drapes
  • Achieve local anesthesia using a combination of lidocaine and lidocaine with epinephrine

Step 4: Biopsy

  • Advance a trocar and sheath through a skin nick to the biopsy site
  • Replace the trocar with an obturator
  • Confirm accurate placement with a repeat scan
  • Perform biopsy with vacuum-assisted biopsy device to obtain multiple specimens

 

Step 5: Post-Biopsy

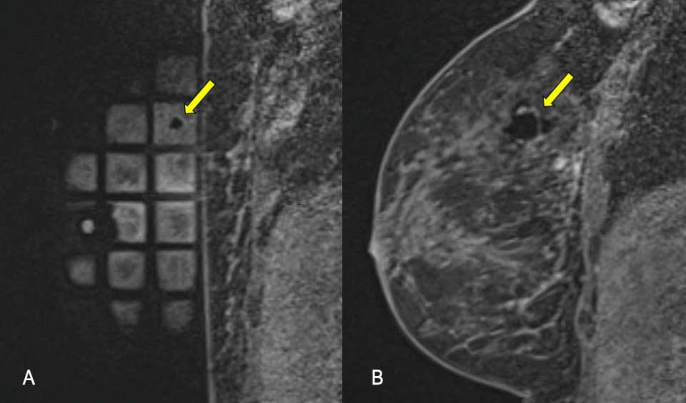
Procedure MRI Guided Breast biopsy Figure 3
Figure 3A and 3B. Sagittal T1-weighted fat saturated post contrast images demonstrate the biopsy tract and post sampling changes.
  • Confirm biopsy of the target site with a post-biopsy scan (fig 3a and 3b)
  • Place a micro-clip
  • Achieve hemostasis with manual compression of the biopsy site
  • Send the specimens for histological analysis

 

Step 6: Post-Procedure

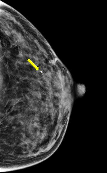
Procedure MRI Guided Breast biopsy Figure 4
Figure 4. Post-biopsy craniocaudal mammogram confirms post-biopsy micro-clip placement.
  • Perform a post-procedure mammogram to demonstrate accurate placement of the micro-clip (fig 4)
  • Provide the patient with written and verbal aftercare instructions

References:

  1. Adrada BE, Guirguis MS, Hoang T, Spak DA, Rauch GM, Moseley TW. MRI-guided Breast Biopsy Case-based Review: Essential Techniques and Approaches to Challenging Cases. Radiographics. 2022 Mar-Apr;42(2):E46-E47. DOI: 10.1148/rg.210126. Epub 2022 Feb 4. PMID: 35119965; PMCID: PMC8906341.
  2. Niketa C, Pang KA, Lim JW. Challenges in MRI-Guided Breast Biopsy and Some Suggested Strategies: Case Based Review. Diagnostics (Basel). 2022 Aug 16;12(8):1985. DOI: 10.3390/diagnostics12081985. PMID: 36010334; PMCID: PMC9407085.
  3. Papalouka V, Kilburn-Toppin F, Gaskarth M, Gilbert F. MRI-guided Breast Biopsy: A Review of Technique, Indications, and Radiological-pathological Correlations. Clin Radiol. 2018 Oct;73(10):908.e17-908.e25. DOI: 10.1016/j.crad.2018.05.029. Epub 2018 Jul 2. PMID: 30041954.