Radiology

Breast Imaging Teaching Resources

A comprehensive and reliable source of information for residents, fellows, and physicians seeking to expand their understanding of breast radiology

Welcome: Welcome to the UCLA Breast Radiology Educational Website, a comprehensive and reliable source of information for residents, fellows, and physicians seeking to expand their understanding of breast radiology.

Who We Are: Our team of radiology residents and fellows, mentored by fellowship-trained UCLA breast radiology faculty, have developed a rich collection of clinical cases and articles that summarize key concepts in breast radiology, citing recent and significant studies in the field.

Our Goals: Our website is committed to delivering digestible, evidence-based educational content that empowers healthcare professionals to provide the best possible care to their patients. We invite you to join us on this exciting journey of learning and excellence in breast radiology.

Screening Mammogram


Screening Mammogram (Screening vs. Diagnostic Mammogram)

How to obtain quality breast imaging from positioning to post-processing interpretation.

 
UCLA Radiology Breast Imaging Teaching Resources: Diagnosis


BIRADS: 
Mammography 
MRI 
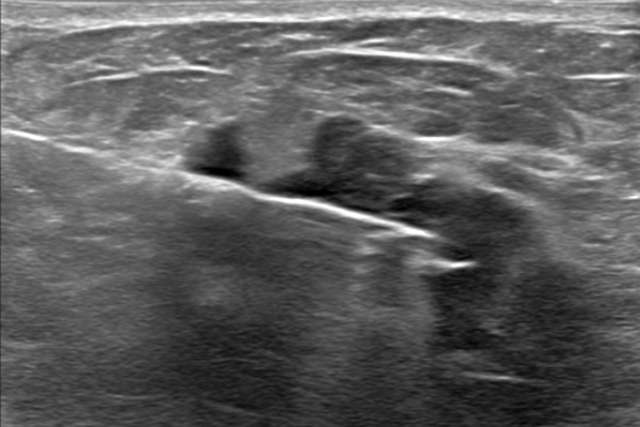
Ultrasound

Learn how to use BI-RADS terminology to interpret Mammograms, MRIs, and Ultrasound cases.

 
UCLA Radiology Breast Imaging Teaching Resources: Walkup


How to Work up 
a Patient with...

Evaluating patients presenting with lumps, pain, nipple discharge, and more.

 

 

UCLA Radiology Breast Imaging Teaching Resources: Cases


Cases

Delve into cases developed by our section to uncover key clinical presentations and image findings that can help guide your practice.

Radiology Breast Imaging Teaching Resources: Procedures


Procedures

Guidelines for Performing a Range of Breast Imaging Procedures

 
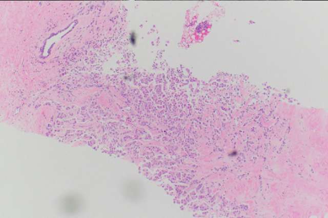
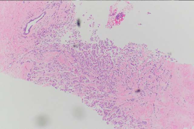
Breast Tissue


Pathology

From localizing to characterizing suspicious tissue.

 

 

UCLA Radiology Breast Imaging Teaching Resources: Teaching Files

Additional Resources 

National guidelines and supplemental resources to accompany your diagnostic imaging.