Prostate Imaging

Prostate Artery Embolization

Prostate artery embolization, or PAE, is a non-surgical procedure that can improve lower urinary tract symptoms by blocking the blood flow to the prostate, thereby reducing the size of the prostate. It is performed by an Interventional Radiologist (IR), who is a specialist physician that uses X-rays and other imaging modalities to see in the body and treat diseases without surgery. 

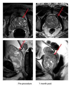
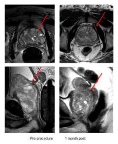
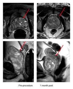
PAE Figure 1

How is PAE performed?

PAE is performed with local anesthesia and mild ‘twilight’ sedation and is generally an outpatient procedure, meaning the patient will go home after the procedure. Our IR physicians will insert a small catheter (which is a thin hollow tube) into the artery of the patient’s upper thigh or wrist, and with the use of X-rays guide the catheter to the arteries supplying the enlarged prostate. Tiny particles are then injected through the catheter into the prostate arteries, reducing the blood supply. This in turn shrinks the prostate gland, which alleviates the benign prostatic hyperplasia (BPH) symptoms.

PAE

 
What happens after the PAE procedure?

Patients generally go home the same day. In most cases, relief begins to occur within a week, as the prostate starts to shrink, relieving the pressure on the urethra and improving lower urinary tract symptoms.


What are the benefits of PAE? 

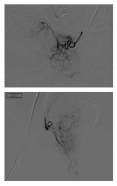
PAE Figure 2

Compared with surgical procedures such as open prostatectomy and TURP, PAE offers many benefits:

  • Outpatient procedure
  • Shorter recovery time
  • Low risk of sexual side effects
  • Low risk of urinary incontinence
  • No indwelling Foley catheter
  • No retrograde ejaculation
  • Decreased pain and discomfort


Are you a candidate for PAE?

PAE is a non-surgical treatment alternative for men with moderate or severe BPH who have failed medical therapy and who do not wish to undergo or are ineligible for surgery. 

If you are interested in seeing if you are a candidate for PAE, please contact our IR clinic at 310-481-7545, option 1 to arrange an appointment with one of our IR physicians.

You can also email our PAE physician group directly with any questions at [email protected].

You Can Make a Difference: Donate to the Benign Prostatic Hyperplasia (BPH) Program

Supporting the BPH Program at UCLA helps drive the research and innovation needed to expand access to prostatic artery embolization (PAE) and improve outcomes for the men who need it most. Philanthropic partnerships fuel new studies, enhance physician training, and strengthen patient education so that PAE is more widely understood and available. Your generosity directly accelerates the next generation of advances in minimally invasive care for BPH.

Donate to the BPH Program at UCLA

For more information, please contact:  
Caroline Cummings
Associate Director of Development
[email protected]

PAE Physicians

Lucas R. Cusumano, MD, MPH

Lucas R. Cusumano, MD, MPH

Interventional Radiology
Zachary M. Haber, MD

Zachary M. Haber, MD

Interventional Radiology
Justin P. McWilliams, MD

Justin P. McWilliams, MD

Interventional Radiology
Diagnostic Radiology
Adam N. Plotnik, MD

Adam N. Plotnik, MD

Interventional Radiology
Diagnostic Radiology
Matthew T. Quirk, MD

Matthew T. Quirk, MD

Interventional Radiology
Diagnostic Radiology