Renal Header

Renal Pathology

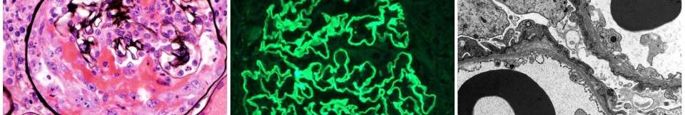
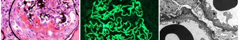
The Renal Pathology Section handles a large volume of diagnostic renal biopsies. Expertise is available for handling fresh biopsy specimens at UCLA as well as consultation material from referring institutions. The section is also expert in interpretation of renal transplant biopsies and nephrectomy specimens, and in the evaluation of post-transplantation complications including lymphoproliferative disorders.

Services

  • Renal biopsy consultation
  • Immunofluorescence microscopy
  • Electron microscopy

Education

  • Resident training
  • Medical student lectures and labs
  • Combined Renal Pathology/Surgical Pathology Fellowship

Contact Information

Location & General Inquiries
10833 Le Conte Ave, A3-259 CHS
Los Angeles, CA 90095
(310) 267-2680 | Email

Section Chief
Jonathan Zuckerman MD, PhD | Email

Faculty

Anthony Sisk, DO
Anthony Sisk, DO
Anthony Sisk, DO
Jonathan E. Zuckerman, MD, PhD
Jonathan E. Zuckerman, MD, PhD
Jonathan E. Zuckerman, MD, PhD