IVC Filter

About Us

Our Mission:

To ensure all patients have access to the best care of their clots, IVC filter insertion and removal

IVC Filter Clinic:

The IVC (Inferior Vena Cava) Filter Clinic is made of dedicated specialists who care about patients with blood clots and/or IVC filters

Our board certified Interventional Radiologists specialize in innovative, minimally invasive procedures that utilize image guidance to safely manage patients that require IVC Filters for several different indications. They are experts at using cutting edge imaging and equipment to make sure that any IVC Filter that should be removed, can be removed.

Our specialist team can assist you and your physician in planning, scheduling, and follow up after your filter placement.

For Patients

There is a huge amount of information and mis-information about IVC filters. At the UCLA IVC Filter clinic we aim to clear that up. Our patients always come first. Our team members collaborate to create a treatment plan that takes the patient’s medical and emotional needs into account as well as quality of life issues and family concerns.

As interventional radiologists, we use the most advanced medical technologies available to guide the placement, management, and removal of IVC Filters. Our focus is on safe prevention of venous thromboembolism, or blood clots, from traveling from the lower body to the heart and lungs.

Our clinic is dedicated to comprehensive longitudinal care of patients who require permanent or temporary mechanical prophylaxis against DVT/PE. We strongly believe that retrievable IVC filters play an important role for many patients, but meticulous follow up is required to make sure the devices are safely removed when no longer needed.

For Physicians

When a patient is diagnosed with deep vein thrombosis (DVT) or pulmonary embolism (PE) the treatment of choice is anticoagulation therapy. Patients who are unable to receive anticoagulants, have complications while taking these medications, or need to have these medications held for surgery or other procedures should receive an IVC filter. The UCLA IVC Filter Clinic staff and the department of Interventional Radiology can provide consultation on these patients, place retrievable or permanent IVC filters, assist in scheduling, provide patient and staff education, and will follow up on all retrievable filters placed. The indications for permanent verses retrievable IVC filter placement should be evaluated for each individual patient.

Our clinic is also happy to assist in the retrieval of IVC filters placed at outside hospitals or filters that were not able to be removed in the past or were determined to be high risk or challenging filter removals. We have had great success in using advanced techniques to remove these filters which include an Excimer Laser Sheath or Endobronchial forceps. Please see the advanced removal techniques tab to learn more about the use of the laser sheath.

Consults can be arranged by contacting our UCLA IVC Filter Clinic Staff

For questions call 310-481-7545.

 

Questions and Answers

  1. What is an IVC Filter?

    An inferior vena cava (IVC) filter is a small metallic medical device inserted for the prevention of pulmonary embolism (PE). It operates by blocking the movement of clots from where they form in the legs (DVT) to the heart and lungs (PE).

  2. I’ve had one procedure to remove my IVC filter and failed. Is it possible it can still be removed?

    This is one of the most common questions our dedicated filter clinic staff get asked. Yes, it is frequently possible that an IVC filter can be removed after a failed attempt. Along with the expertise and experience of our physicians there are many advanced techniques that allow us to remove your IVC filter, even if others have failed. Each individual patient is evaluated on a case by case bases to determine best treatment option.

  3. If my filter has been in place for years can it still be removed?

    We have removed IVC filters that have been in place for years, and in several cases, decades. With advanced techniques it is possible to remove a filter that has been in place for years. With our multidisciplinary approach each patient is evaluated with a few simple questions such as: type of filter, approximate filter placement. If information is unavailable, patients will work with our clinical coordinator to answer questions.

  4. My IVC Filter was not placed in UCLA, can it still be removed in UCLA?

    Yes. Often we see patients that are referred by other physicians outside of UCLA. Our clinic team will work with you to gather information that is needed and set up the filter removal.

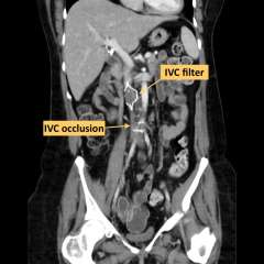
  5. What are the things that can go wrong with an IVC Filter?
    X-Ray diagram of IVC occlusion and filter
    • IVC Filter Fracture:
      The legs of the IVC can break off
    • IVC Penetration:
      Parts of the IVC Filter can work their way into and through the wall of the blood vessel
    • IVC Thrombosis:
      Clot can form in the IVC around the filter and block flow, leading to leg swelling, pain and immobility.
    • IVC Occlusion:
      When clot around the IVC filter remains there for an extended period it can lead to a complete permanent blockage of the IVC, also known as IVC occlusion. This leads to long term leg swelling, pain and immobility
    • DVT:
      Blood clots can form within the legs
    • IVC Filter Embolization:
      The filter itself, or parts of it, can move to the heart and lungs and may potentially cause serious problems
       
  6. Once I’ve set up my IVC filter removal procedure, where do I send my information such as medical records?

    Please send all records and images to:

    UCLA IVC Filter Clinic
    Phone: (310) 481-7545 
    Fax: (310) 794-9070 
    100 UCLA Medical Plaza, Suite 100
    Los Angeles, CA 90095

  7. Should I stop my current blood thinning medication?

    In most cases we do not require you to change your blood thinner regimen. Your IVC filter clinic coordinator will review your medications you are taking and will determine whether or not you should continue taking them before your procedure.

  8. How long will I be in the hospital?

    In most cases patients will be at in the hospital between 3-4 hours for either IVC filter placement or removal procedures. In rare cases patients stay overnight for observation depending on individual circumstances.

    Our expert team will work to answer all questions leading up to the procedure as well as what to expect during recovery.

    If you are coming from out of town it is a good idea to wait at least 48 hours after the procedure before taking a flight or driving long distances.

  9. Where can I stay near the hospital?

    Patients and their families frequently travel to UCLA for their clot and filter care. For out-of-town patients and visiting family members, UCLA recommends:

    Listing of hotels near Ronald Reagan UCLA Medical Center.
  10. Will my insurance cover the procedure?

    Most insurance cover the IVC filter placement and removal procedures. The IVC filter clinic team can work with you and your insurance company to determine if you will receive coverage