Prostate Imaging
Dynamic Contrast-Enhancement for Biochemical Failure
Find your care
Our radiologists lead the way in prostate imaging. We offer the newest techniques to better detect and stage prostate cancer. Call 310-481-7545 to find out more about prostate imaging and treatment options.
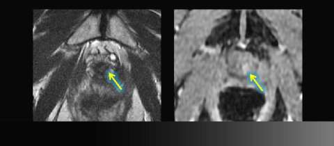
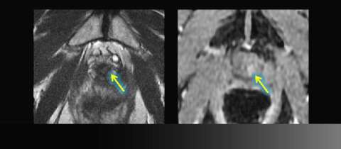
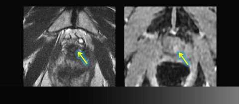
History
Elevated PSA after prostatectomy
Imaging
LEFT: Axial T2-weighted image: slight asymmetry at the vesicourethral anastomosis could be post-surgical change
RIGHT: Corresponding asymmetric enhancement raises suspicion for focal recurrence
Results
Addition of radiation therapy was followed by decrease in PSA
Advantage: UCLA Prostate MRI
MRI is sensitive to recurrence in the radiation therapy field and surgical bed as well as lymph nodes and bones