Prostate Imaging

Case Studies

1) Radiation Therapy Follow-Up

Radiation Therapy Follow-Up
  • 69 year-old, BPH gradual
  • PSA rise 1.6 → 4.8 ng/dl
  • Abnormal digital rectal exam → Biopsy: Gleason 5+4=9
  • Read More >

2) Small Volume, Low Grade Disease

Small Volume, Low Grade Disease
  • 60 year-old
  • PSA 3.6
  • 5 of 6 right biopsies GS3+3
  • Read More >

3) Active Surveillance Example 1

Active Surveillance Example 1
  • (Initial MRI order was for surgical planning)
  • 65 year-old
  • PSA 3 → 11 over 6 months
  • Microfocus of Gleason 3+3
  • Initial report : No posterior disease
  • Targeted Biopsy consult prompted 2nd look
  • Read More >

4) Example of Change to Nerve Sparing

Example of Change to Nerve Sparing
  • 59 year-old
  • PSA 4.3
  • standard biopsy: 3+3=6 but large volume left
  • Read More >

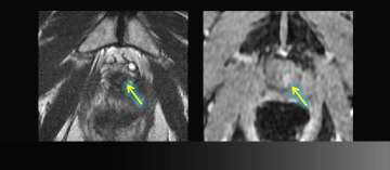
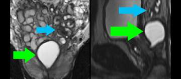
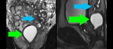
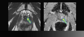
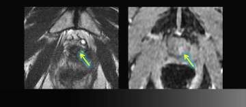
5) Extracapsular Extension and Seminal Vesicle Invasion by MRI + Spectroscopy and Pathology

Extracapsular Extension and Seminal Vesicle Invasion by MRI
  • 59 year-old male
  • PSA level: 10
  • Clinical staging: T1C
  • Blind systematic biopsy results: Gleason: 3+4=7 in the Left prostate
  • Read More >

6) Dynamic Contrast-Enhancement for Biochemical Failure

Dynamic Contrast-Enhancement for Biochemical Failure

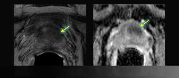
7) MR-Guided Targeted Biopsy

MR-Guided Targeted Biopsy
  • 63 y/o, PSA 8.8 → 13.2 over 5 years
  • All systematic biopsies negative
  • Hypointense left anterior lesion with restricted diffusion is moderately suspicious, not in biopsy zone
  • Read More >

8) Benign Disease (Infertility)

Benign Disease (Infertility)
  • Young man presents with infertility (azospermia)
  • Workup and medical history otherwise noncontributory
  • Muellerian duct remnant in central upper prostate may obstruct ejaculatory ducts
  • Left seminal vesicles are atrophic
  • Read More >