Coronary CTA
Find your care
Radiologists are experts in all types of imaging, including advanced techniques.
Call today to find medical imaging near you and schedule your imaging procedure (MR, CT, PET, Dexa, Ultrasound).
Your Heart Imaged Gently: Coronary CTA with Lowest Practical Dose
Coronary CTA (CCTA) is an accurate method for the non-invasive diagnosis of coronary artery disease. However, recent advances in speed, spatial resolution, and image quality were achieved at the cost of an increased radiation dose. In this context concerns about the increased use of CT and the associated increase in collective radiation dose to the general population have emerged.
Dual Source CT System
A new Dual Source CT system from Siemens features two X-ray tubes that simultaneously rotate revolve around the patient's chest. This technology enables complete scans of the heart in less than 10 seconds. Furthermore, it offers opportunities for heart scans at extremely reduced radiation dose.
Recently a revolutionary "step-and-shoot" technique has been introduced at UCLA. With this technique radiation is only applied at pre-defined time points of the cardiac cycle. This allows the reduction of radiation dose by about 70% to 90% compared to standard, retrospectively gated acquisitions, which use radiation during the entire cardiac cycle.
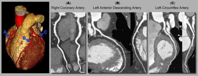
Example Case Study: coronary CT in a 67 year-old female patient provides excellent image quality with a low radiation dose. With prospective ECG triggering, the X-ray beam is turned on during the required heart phases rather than the entire cardiac cycle. This reduces the delivered radiation dose by about 70 to 90% compared to standard, retrospectively gated acquisitions. (Actual radiation dose may vary based on clinical indication and protocol)
Early results at UCLA indicate that this technique shows high diagnostic performance with accuracies for the detection of coronary artery disease comparable to conventional CT protocols. It is expected that in the near future coronary CTA will play an important role in the early detection of coronary artery disease and the risk stratification of patients with increased cardiovascular risk factors.