Biliary Leak
Find your care
Our board-certified physicians diagnose and treat many vascular conditions. Call 310-481-7545 to learn more about interventional radiology services.
What is a biliary leak?
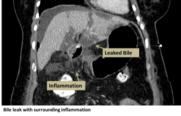
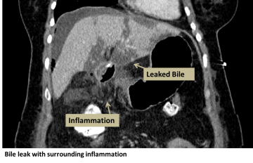
A biliary leak occurs when bile leaks out of any of the ducts that transport bile to the small intestine. Bile is made in the liver and secreted to help digest fats. Bile is made in the liver, stored in the gallbladder, and emptied into the small intestine via the common hepatic, cystic, and common bile ducts. When bile leaks out of the bile ducts, the surrounding area becomes painfully inflamed and can get infected.
Risk Factors
- Gallbladder surgery
- Liver operations
- Injury to the bile ducts
Symptoms
- Abdominal pain in the right upper quadrant
- Nausea and vomiting
- Jaundice (yellowing skin)
- Fever
Diagnosis
In addition to a history and physical examination, some of the following tests will be performed:
- Abdominal ultrasound
- Abdominal CT scan
- Cholescintigraphy, which involves injecting a radioactive tracer into a vein and following its path through the bile ducts to the gallbladder and small intestine
- Blood and urine bilirubin levels
- Liver enzyme tests
Treatments
- Biliary drain placement
- Biliary drainage
- Biliary stenting
- Cholangiogram
For More Information:
For more information or to schedule an appointment with one of our IR physicians, please call 310-481-7545.