Interventional Radiology

Portal Hypertension

What is portal hypertension?

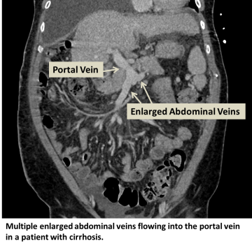
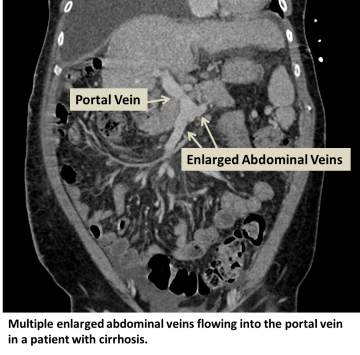
Portal hypertension is increased blood pressure in the portal venous system, a system of veins draining the abdominal organs into the portal vein, which then drains into the liver. Portal hypertension can result in blood backing up into various abdominal organs, such as the spleen, esophagus, and rectum with resultant bleeding.

Portal hypertension can be caused by anything that limits blood flow through the portal vein, through the hepatic veins draining the liver, or through the liver itself. As a result, pressure builds up in the portal system. Examples of conditions that can cause portal hypertension include portal vein clots, liver disease, and right heart failure. The most common cause of portal hypertension is chronic liver scarring called cirrhosis.

Multiple enlarged abdominal veins flowing into the portal vein in a patient with cirrhosis.

Risk Factors

Risk factors for portal hypertension include

  • Cirrhosis (liver scarring), which can be caused by:
    • History of alcohol use
    • Hepatitis B or C infection
    • Long term inflammation of the liver
    • Hemochromatosis, or iron overload
  • Congestive heart failure
  • Arteriovenous malformations (AVMs)
  • Hypercoagulable states

Symptoms

Symptoms of portal hypertension may not appear until the pressure reaches high levels and causes complications such as:

  • Ascites (fluid in the abdomen)
  • Hepatic encephalopathy (confusion)
  • Variceal bleeding
    • Vomiting of blood
    • Bloody or black stools
  • Splenomegaly, or an enlarged spleen
    • May have decreased platelets and left abdominal pain or fullness as a result

Because portal hypertension is commonly caused by cirrhosis, liver failure symptoms can also indicate portal hypertension:

  • Jaundice, or yellowing of the skin
  • Easy bruising or bleeding
  • Weakness
  • Weight loss
  • Abdominal pain

Diagnosis

Portal hypertension cannot measured with a blood pressure cuff like systemic hypertension, so it is often not diagnosed until it becomes symptomatic. The diagnosis can be confirmed through:

  • Endoscopy, which uses a camera in the gastrointestinal tract to look for variceal bleeding
  • Ultrasound of the abdomen
  • Hepatic venous pressure gradient (HVPG), a measurement of portal system pressure
  • CT or MRI

Some tests that may also be performed to help determine causes and related conditions include

  • Platelet levels
  • Liver function tests
  • Liver biopsy
  • Angiography

Treatments

For More Information:

For more information or to schedule an appointment with one of our IR physicians, please call 310-481-7545.