Endocrine Surgery

Adrenal Conditions Treated at UCLA

What are Adrenal Glands?

Adrenal glands are triangular-shaped glands located on top of the kidneys. The adrenal glands are an endocrine gland, which means they make hormone. Adrenal glands make:

  • Cortisol
  • Aldosterone
  • Sex Hormones
  • Epinephrine and norepinephrine (aka adrenaline and noradrenaline) 

The adrenal glands glands play a crucial role in producing hormones that help regulate various bodily functions, including metabolism, blood pressure, and response to stress.

Adrenal tumors can be categorized as either benign (non-cancerous) or malignant (cancerous). While most adrenal tumors are benign and do not cause symptoms, some may overproduce hormones, leading to conditions such as Cushing's syndrome or pheochromocytoma. Malignant adrenal tumors are rare but can be more concerning, potentially spreading to other parts of the body.

Watch Video: Dr. James Wu describes what the adrenal glands are.

Adrenal Nodules, Adrenal Masses, Thickened Adrenal Glands, and Adrenal “Incidentalomas”

When patients have images taken of their abdomen with a CT scan or MRI, it is very common to see an adrenal nodule. In fact, we see adrenal nodules in 4 out of every 100 people that get a CT or MRI. An adrenal nodule is when normal tissue grows into a lump. Most incidental adrenal nodules do not cause health problems. However, they need to be evaluated for signs of excess hormone production or suspicion of malignancy. Because we often find adrenal nodules or masses when we were not looking for them, doctors will informally call these “incidentalomas.”

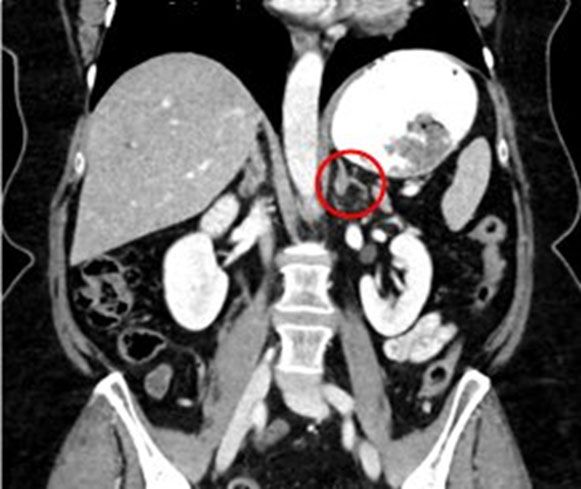
Adrenal tumor: Small incidentally discovered adrenal mass

Incidentally discovered Adrenal Masses (Adrenal “Incidentalomas")

An incidentally discovered adrenal mass is a growth on the adrenal gland that is discovered "by accident" on a scan (typically at CT scan or MRI of the abdomen) performed for another reason, such as abdominal pain. As the availability and speed of scanners in developed countries increased from the 1980s onward, people received more and more scans, leading to the growing discovery of adrenal masses. The prevalence of incidental adrenal masses has varied from 0.5% to 7% in different studies. We know that older people are more likely to have incidental adrenal masses. Most of them are unilateral (just on one side) and most are benign, nonfunctional tumors (adenomas) that do not require surgery. However, up to 30% of incidental adrenal masses may require surgery, depending on (a) whether the mass is overproducing a hormone, or (b) whether there is concern for a malignant/cancerous mass.

Adrenal masses can overproduce several types of hormones, such as cortisol (causing Cushing's syndrome), aldosterone (causing hyperaldosteronism), and catecholamines (pheochromocytoma). Blood and/or urine tests measuring levels of these hormones should usually be performed in patients with incidentally discovered adrenal masses. The most common type of hormone overproduction in these tumors is mild autonomous cortisol secretion (MACS, formerly known as subclinical Cushing's syndrome). Depending on the imaging characteristics, such as size and density (the quantity of x-rays absorbed by a structure on CT scan), your doctor may recommend either removal of the adrenal mass or continued monitoring. Larger masses, such as those >4 cm (1.6 in) and those with high density (>10 Hounsfield units) are more concerning, whereas smaller adrenal masses and those with low density (<10 Hounsfield units, compatible with fat tissue) are less concerning.

If you discover that you have an adrenal nodule, it is important to have a proper workup. Phone: 310-267-7838

Work-up of Adrenal Nodules: Functional or Non-Functional?

At UCLA Endocrine Center, we start by performing a comprehensive review of a patient’s history and thorough physical exam. We are looking for signs that the adrenal nodule may be making too much hormone. Most adrenals nodules do not produce hormones.

When nodules make hormone, doctors refer to them as “functional.” When nodules do not make hormone, they are “non-functional.” 

85% of adrenal nodules are non-functional
15% of adrenal nodules are functional
          9% make the stress hormone cortisol
          4% make epinephrine and norepinephrine
          2% make aldosterone
          <1% make sex hormones

Sometimes patients feel completely normal despite making excess hormones. That is why we will typically perform regular lab testing for all the mentioned hormones when an adrenal tumor is found. Sometimes, this involves blood tests. Sometimes, this requires urine testing.  In rare circumstances, we will also recommend a biopsy of the adrenal tumor.

What are the Signs and Symptoms of an Adrenal Nodule?

When abnormal amounts of the aforementioned hormones are secreted by functioning tumors, they can cause serious abnormalities in the body.

Adrenal Causes of High Blood Pressure

UCLA endocrine surgeon Masha Livhits, MD, presented a live-streaming webinar to discuss an overview of adrenal hormones and their role in causing high blood pressure, when adrenal hormone levels should be checked and what are the treatment options.

When adrenal tumors make too much cortisol, this is called Cushing’s syndromePatient with Cushing’s syndrome may experience:

  • Weight gain, particularly in the upper body and face
  • Purple stretch marks on the skin
  • Increased fat deposits around the neck, creating a "buffalo hump"
  • Easy bruising and thinning of the skin
  • Slow healing of wounds
  • Fatigue and weakness
  • Mood changes, such as irritability or depression
  • Irregular menstrual cycles
  • High blood pressure
  • High blood sugar
  • Bone loss and osteoporosis, increasing the risk of fractures

When adrenal tumors make too much epinephrine or norepinephrine, this is called a pheochromocytoma. Patients with a pheochromocytoma may experience:

  • Episodic headaches
  • Sweating
  • Fast heart rate
  • High blood pressure (can be always or sometimes)
  • Anxiety or panic attacks
  • Tremors or shaking

When adrenal tumors make too much aldosterone, this is called a Conn’s syndrome or hyperaldosteronoma. Patients with a hyperaldosternoma may experience:

  • High blood pressure that is not well controlled on multiple drugs
  • You may be told your potassium levels are low on blood testing
  • Muscle weakness
  • Muscle cramps, may be caused by low potassium
  • Fatigue
  • Thirst and dehydration

Who develops Adrenal Tumors?

Although anyone could develop an adrenal tumor, they are much more common in older patients. About 10% of people older than 70 years of age have an adrenal tumor. These are most often benign and do not cause any harm or symptoms.

How are Adrenal Tumors Evaluated?

Adrenal tumors need to be evaluated with a combination of laboratory testing and imaging. The specific laboratory testing depends on a patient’s medical history and symptoms. Certain medications may interfere with test results. This initial evaluation should ideally be done by an endocrinologist or endocrine surgeon, who can help to interpret test results and determine if additional testing or treatment are needed.

Specific laboratory testing may include:

Pheochromocytoma: 

  • Blood or 24-hr urine testing for Metanephrines and Normetanephrines, which are metabolites of adrenaline. 

Hyperaldosteronism: 

  • Blood levels of aldosterone and renin. 

Cushing’s Syndrome: 

  • There are various ways to check cortisol levels. These include dexamethasone suppression test, 24-hr urine testing, and saliva testing. 

Dehydroepiandrosterone Sulfate (DHEA-S): 

  • Levels that are too low or too high may indicate a cortisol producing tumor or malignancy. 

Adrenal tumors should not be biopsied (except for very rare cases). Unlike in most other areas of the body, a biopsy of an adrenal tumor cannot diagnose cancer. It can also be dangerous in cases of pheochromocytoma or adrenal cancer, where putting a needle into the tumor can cause release of hormones and very high blood pressure or spread of cancer.

Do Adrenal Nodules Contain Cancer?

Cancers that come from the adrenal gland are called adrenocortical carcinomas, and they are very, very rare. Adrenocortical carcinomas occur in about 0.0001% of people, or 1 in one million of the population per year in the United States. These cancers, just like nodules, can be functional or non-functional. There are no obvious symptoms or signs unless the adrenal cancer is producing excessive hormones. This makes it hard to detect at an early stage.

There are some characteristics that are concerning for adrenal cancer: when the mass has irregular borders, when the tumor is bigger than 4 cm, when there are enlarged lymph nodes, nearby, and when we can detect distant metastases. Distant spreading ACCs generally metastasize to the lungs, liver, bone, and lymph nodes. It remains controversial, however, whether functioning or nonfunctioning tumors are more aggressive.

Other Cancers Traveling to the Adrenal Gland

There are some cancers that arise from other parts of the body that can spread (or metastasize) to the adrenal gland. These include breast cancer, lung cancer, and melanoma. When we evaluate patients with adrenal tumors, this includes a thorough review of a patient’s history and making sure your cancer screening in up to date. Sometimes, if the only site of spread is to the adrenal gland, surgical removal of the disease can help improve patient outcomes. This decision is made by team consensus after thorough review of the case.

What Causes Adrenocortical Carcinoma?

The answer is unknown. There is no known association with smoking, alcohol consumption, or other occupational or environmental exposures. Genetic factors may play a role in a small number of patients.

How Can Adrenocortical Carcinoma Be Treated?

Early stage disease is highly curable through surgical resection of the tumor by specially trained surgeons who specialize in treating this disease. The problem is that many, if not most, adrenal cancers are found at advanced stages.

Treatment of adrenal cancer should always be done by a team of experts. An example of a team of physicians dedicated to this challenge is the UCLA endocrine surgery team. Any patient with this rare disease should be encouraged to seek, at minimum, evaluation at a center like UCLA's, which is dedicated to treatment of these rare tumors. We work with endocrinologists, endocrine surgeons, oncologists, radiologists, and pathologists to make decisions at every step along the way.

If the tumor can be fully removed, surgical resection is recommended. After surgery, mitotane treatment (a drug therapy) and/or chemotherapies may be utilized to potentially improve cure rates and increase survival. The need to use mitotane or chemotherapy should be decided on a case by case basis.

Contact us for more information or to request an appointment.