by Tyler Callese, MD and Anne Hoyt, MD

Introduction

Breast MRI is indicated for screening in high-risk patients, determining extent of disease upon initial diagnosis, response to neoadjuvant therapy, axillary nodal metastasis with occult breast primary and problem-solving inconclusive findings from other modalities (1). MRI breast findings are reported using standardized terminology from the 2013 BI-RADS Atlas (1). BI-RADS characterizes abnormal enhancement into three categories: foci, masses, and non-mass enhancement. In this article, we will focus on the BI-RADS descriptors for foci and masses.

Focus and Foci

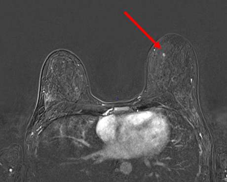
Focus is defined by BI-RADS as abnormal enhancement measuring less than 5mm in diameter that is too small to characterize and cannot be categorized as a mass or non-mass enhancement (1) (Figure 1). Abnormal enhancement describes an area that enhances above the background parenchymal enhancement on contrast-enhanced MRI sequences (2). Kinetics are a useful adjunct in breast MRI for further characterizing enhancing lesions, however, the small size of foci (< 5 mm) may limit kinetic analysis due to partial volume averaging. Partial volume averaging is a phenomenon that occurs when a lesion is below the resolution of the imaging modality.

Figure 1. T1 fat-saturated postcontrast axial subtraction MRI demonstrating an enhancing focus in the left breast at 11 o’clock anterior depth.
Figure 1. T1 fat-saturated postcontrast axial subtraction MRI demonstrating an enhancing focus in the left breast at 11 o’clock anterior depth.

Why are foci important in breast MRI? Because they can be malignant (3). Reports in the literature provide a very broad range of estimated risk of malignancy (3-6%), therefore, these findings are often characterized as BI-RADS 3 – likely benign and short-term follow-up is recommended. In the event that a focus increases in size, is new, or demonstrates washout kinetics, then it could be assigned a BI-RADS 4 – suspicious – and a biopsy (likely MR-guided biopsy) would be warranted. In some cases, enhancing foci may be categorized as BI-RADS 2 – benign – if they have features specific to benign lesions (i.e. cyst, fat necrosis, lymph node, apocrine metaplasia, and myxoid fibroadenoma).

Mass

Approximately two-thirds to three-quarters of cancers present as a mass (4). Mass is defined by BI-RADS as a 3-dimensional lesion occupying space within the breast. Similar to mammography and sonography, masses are described by their shape, margins, internal characteristics as well as MRI contrast enhancement pattern (Figure 2).

T1 fat-saturated postcontrast axial subtraction MRI
Figure 2. T1 fat-saturated postcontrast axial subtraction MRI demonstrating enhancing mass in the left breast 11 o’clock. Of note, the left breast saline subpectoral implant is ruptured and collapsed. This mass was demonstrated rapid washout kinetics and assigned BI-RADS 4.

Breast masses are categorized into 3 shapes: oval (including lobulated), round, and irregular. Margins are described as either circumscribed or not circumscribed (including irregular and spiculated margins) (5). Enhancement patterns are described as homogenous, heterogenous, rim enhancement, and dark internal septations. Mass features suspicious for malignancy include irregular size and margin, heterogenous or rim enhancement and washout kinetics (5).

References:

  1. D’Orsi CJ, Sickles EA, Mendelson EB, Morris EA, et al. ACR BI-RADS® Atlas 5th Edition, Breast Imaging Reporting and Data System. Reston, VA, American College of Radiology; 2013. https://www.acr.org/Clinical-Resources/Reporting-and-Data-Systems/Bi-Rads
  2. Rao AA, Feneis J, Lalonde C, et al. A Pictorial Review of Changes in the BI-RADS Fifth Edition. Radiographics 2016; 36:623-639. DOI: 10.1148/rg.2016150178. PMID: 27082663
  3. Choe A, Sivarajah R. Enhancing Foci on Breast MRI. J Am Osteopath Coll Radiol 2021; 10:1, 37-39. https://www.jaocr.org/articles/enhancing-foci-on-breast-mri
  4. Mann RM, Cho N, Moy L. Breast MRI: State of the Art. Radiology 2019; 292:520-536. DOI: 10.1148/radiol.2019182947. PMID: 31361209
  5. Panigrahi B, Harvey SC, Mullen LA, et al. Characteristics and Outcomes of BI-RADS 3 Lesions on Breast MRI. Clin Breast Cancer 2018; 19:1, e152-159. DOI: 10.1016/j.clbc.2018.08.011. PMID: 30268764