Interventional Neuroradiology

Spinal Vascular Malformation

In this section:

What is Spinal Vascular Malformation?

Figure 1: Spinal AVM
Figure 1: Spinal AVM

Spinal vascular malformation is a very rare condition. It is an abnormal tangle of blood vessels on, in, and/or near the spinal cord (Figure 1).

Depending on where a malformation is located, it is classified as:an intramedullary arteriovenous malformation (AVM within the spinal cord tissue), a pial arteriovenous malformation (AVM on the surface), a dural spinal arteriovenous fistula (DAVF within the membrane that covers the spinal cord), or an epidural arteriovenous fistula (Epidural AVF on the surface of the membrane that covers the spinal cord).

Symptoms and Diagnosis

Intramedullary and pial AVMs are considered to be congenital conditions (Figure 1). Larger malformations tend to cause symptoms in a younger age group than smaller AVMs. In fact, smaller malformations can be completely silent. Symptoms from spinal AVMs can occur in a gradual fashion or acutely and dramatically. The symptoms include abnormal sensation in the body, back pain, weakness in the extremities, sexual dysfunction, and bowel/bladder disturbances.

Figure 2: Spinal Dural AVF
Figure 2: Spinal Dural AVF

Unlike the vascular malformation on or in the spinal cord, dural or epidural AVFs (Figure 2) are an acquired condition, and are commonly discovered in mid 50s males. The symptoms include progressive weakness and numbness in the lower extremities, bowel bladder disturbance, back pain, and sexual dysfunction.

MRI and CT can detect spinal vascular malformations. However, spinal catheter angiography is oftenrequired to further classify the lesion. Making an accurate diagnosis / classification is the first step to compose the best management plan for the lesion.

Treatment

Depending on the lesion, the best treatment plan changes. For intramedullary AVMs, partial or palliative treatment is sometimes an option since complete obliteration may carry a much higher chance of causing neurological deficits than conservative management or partial treatment (Figure 3).

The treatment strategy includes catheter embolization, surgical resection, radiation, and/or a combination these modalities.

For pial arteriovenous malformations, complete obliteration may be possible by surgical resection or catheter embolization depending on the anatomy.

Figure 3: A palliative / partial Catheter Treatment for a Spinal AVM.

Multiple arteries feeding the spinal AVM. There are aneurysms in the feeding arteries.
Multiple arteries feeding the spinal AVM. There are aneurysms in the feeding arteries.
Two feeding arteries harboring the aneurysms were obliterated using catheter embolization techniques.
Two feeding arteries harboring the aneurysms were obliterated using catheter embolization techniques.
The aneurysms were completely obliterated, and the risk of bleeding was reduced. However the AVM receives blood flow from the other feeding arteries.
The aneurysms were completely obliterated, and the risk of bleeding was reduced. However the AVM receives blood flow from the other feeding arteries.

On the other hand, most dural or epidural AVFs are curable by surgery or catheter embolization. Our experience clearly shows “the sooner the treatment the better the outcome”. In our institution, minimally invasive catheter embolization was feasible in 75% of dural AVF cases. In the rest of 25% cases, surgical resection was performed. Both treatment methodologies result in a very high cure rate.

Prognosis

In our institutional experience, gait improves more often than bladder and bowel dysfunctions. Also, the lesions left untreated for more than 18 months resist to our treatment. A spinal vascular malformation should be referred to a highly experienced center and appropriate management plan has to be made as soon as possible to maximize the chance of recovery. For any questions, please feel free to reach us.

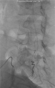
Figure 4: Catheter Embolization of a Spinal Dural AVF.

A microcatheter was navigated into a spinal dural AVF.
A microcatheter was navigated into a spinal dural AVF.
From the microcatheter, glue was injected into the AVF. After this, the lesion disappeared completely.
From the microcatheter, glue was injected into the AVF. After this, the lesion disappeared completely.

Reference

Song JK, Gobin YP, Duckwiler GR, Murayama Y, Frazee JG, Martin NA, Viñuela F. N-butyl 2-cyanoacrylate embolization of spinal dural arteriovenous fistulae. AJNR Am J Neuroradiol. 2001 Jan;22(1):40-7.