Neurology

Understanding the stroke-dementia connection

Stroke and dementia are two of the most common neurological disorders, and increasingly researchers are recognizing the link between the conditions. 

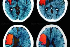
Brain scan

Dementia is characterized by a loss of cognitive function, including problems remembering, reasoning and concentrating. Though an estimated third of people age 85 and older suffer from the condition, it is not an inevitable part of aging.

Stroke, which is the leading cause of serious long-term disability, occurs when blood supply to the brain is blocked or a blood vessel bursts. A stroke greatly increases a person’s risk of developing dementia.

“What isn’t clear is whether the diseases occur in parallel with each other, or whether they intersect at the basic, molecular pathway levels in the brain,” said Jason Hinman, MD, PhD, associate professor and vice chair of research in the Department of Neurology at UCLA.

“There may be underlying molecular changes that are happening with age that raise the risk of stroke while also raising the risk of neurodegeneration and dementia.”

In the Hinman Lab, researchers are leading studies at the bench and in the clinic to understand the interface between the two diseases. The implications are twofold, Dr. Hinman says: “Identifying the molecular pathways that drive stroke and dementia can both improve diagnostic accuracy, and, hopefully, allow us to design new therapies to treat both disorders.”

Read more in UCLA Health