Obstetrics & Gynecology

Newsletter Summer 2020

Message From Department Chair, Deborah Krakow, MD

As we put forward our first e-communication from the UCLA Department of Obstetrics and Gynecology, I must take a moment to acknowledge the state of healthcare in which we find ourselves today. It is a time of both regret and resolve – regret in missing our family, long exhausting hours, fear of what we don’t know, mourning the loss of socialization, weddings, graduations, of life and the way it was before COVID-19. Yet this regret is matched with great resolve. We are the safety net for our patients, society and each other. Being on the front lines is hard; each of us is feeling our own burden of worry and those of our patients, our families, our colleagues. Yet as we rise to these unprecedented challenges we are creating a new healthcare delivery model that will lead us to better and more effective ways to care for and heal our patients.

Deborah Krakow MD
Deborah Krakow, MD, Chair, UCLA Obstetrics and Gynecology

Within this resolute and hopeful outlook, I am proud to introduce our newest communication tool that over the coming years will bring you exciting updates about UCLA Obstetrics and Gynecology. In this issue we highlight changes that are helping elevate our efforts to provide first class care across the southern California market. Two years ago we initiated a plan to recruit world class physicians, researchers and other key staff and return the Department to national prominence, and welcomed Dr. Beth Y. Karlan as Department Vice Chair for Research. In the following sections you’ll find out about new faculty who have recently joined us, including our Gynecologic Oncology Division Director Dr. Ritu Salani, and renowned researcher Dr. Sandra Orsulic.

You’ll also read about an exciting partnership between UCLA and UCSF led by Dr. Yalda Afshar that is evaluating the impact of COVID-19 on pregnant women and their babies. This longitudinal research effort will help us fill the knowledge gap on data related to the impact of COVID-19 and our patients, and provide guidance as we develop tools to more effectively screen and care for our pregnant and postpartum patients and their newborns.

In other sections we will share updates on research and clinical activities of our faculty, as well as insights on achievements of our students, residents and fellows. We’ll also provide links to key research published by UCLA faculty and share information about grants and other funding that sustain our work.

We are excited about this new platform to communicate with you. Look for us in your “in-box” once each quarter, and please don’t hesitate to reach out to us with suggestions about how we can make this even more useful to you, your clinical and research efforts.

Deborah Krakow, MD

Clinical Update

Advances in the Management of Cervical Cancer

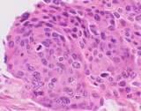
HE Cervix
An example of squamous cell carcinoma of the cervix is shown by hematoxylin & eosin stain

Contribution by Ritu Salani, MD, MBA, director of the UCLA division of gynecologic oncology

Over the past few years, major advances have been made in the management of cervical cancer. One notable advance has been the role of immunotherapy in the treatment of recurrent disease (with PDL1 expression or CPS>1%) which received FDA approval in June 2018. With an improved understanding of the tumor biology, new areas of research are being explored, including treatment with TILs (tumor infiltrating lymphocytes) and novel therapeutics such as tisotumab vedotin.  

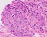
An example of squamous cell carcinoma of the cervix is shown by hematoxylin & eosin stain

At UCLA, we provide comprehensive care for women with cervical cancer from surgery and treatment (systemic therapy, radiation therapy) to survivorship care. Our expert team of gynecologic oncologists perform a wide range of surgical procedures including radical hysterectomy, sentinel lymph node assessment, lymph node debulking, and pelvic exenterations.  We also have a remarkable team of radiation oncologists who are dedicated to women’s cancer care and are experts in the field of brachytherapy. Our teams have partnered to perform innovative approaches in the treatment of recurrent cervical cancer, including the ability to deliver radiation immediately post-operatively to a surgical bed for curative intent.  

Our teams have partnered to perform innovative approaches in the treatment of recurrent cervical cancer, including the ability to deliver radiation immediately post-operatively to a surgical bed for curative intent. Most importantly we continue to search for better treatments and identify opportunities to prevent the development or recurrence of invasive cancer by actively participating in or developing clinical trials.

Clinical trials opening soon for enrollment:

  • Optimizing outcomes by adding immunotherapy to chemoradiation in locally advanced disease.
  • Exploring novel immunotherapy combinations in recurrent disease. 

Clinical trials in development:

  • Pilot study to target refractory precancerous lesions of the cervix/vulva/vagina.
  • Maintenance strategies for patients with advanced/recurrent cervical cancer.

Contact our team of experts at [email protected] or our clinical trials group at [email protected]

See how UCLA OBGYN faculty are adapting to a new world in COVID-19 and continuing to maintain a world class learning experience for our medical students.

The UCLA OBGYN Clerkship provides medical students with an essential patient care learning experience that includes interaction with expert faculty,

Aparna Sridhar, MD
Aparna Sridhar, MD, Associate Clinical Professor, UCLA Obstetrics and Gynecology

 simulation, and other formal educational activities. It is an opportunity for medical students to gain in-depth understanding of the specialty of obstetrics and gynecology and exposure to all the sub-specialties within the field.

When the in-person medical student clerkship was interrupted due to COVID-19, our department embarked on the journey of virtual clerkship under the leadership of Lisa Nicholas MD, clerkship chair and Lauren Nathan, MD, vice chair of education. To enhance the virtual teaching experience, Dr. Aparna Sridhar, associate clinical professor and director of marketing and innovation at UCLA OBGYN, identified a new interactive live-stream paradigm using smart-glass technology. Smart-glasses use tele-conferencing with hands-on demonstrations and real time visual instructions. These hands-free devices allow live-streaming via Zoom in the UCLA Simulation Center to introduce obstetrical procedures to medical students.

Janell Holloway, MD Candidate, Class of 2021 at the David Geffen School of Medicine at UCLA said, “I really appreciated the UCLA Simulation Center activity. It definitely helped solidify some concepts that were more difficult for me to appreciate from the 2D pictures in the textbook. Visualizing the birth process through the head lamp/camera was also incredibly helpful. I just wanted to say I appreciate the various ways you are making our learning interactive.”

Dr. Sridhar is also working with Dr. Yue Ming Huang EdD MHS, Education Director at the UCLA Simulation Center and Catherine Nameth, PhD, Director of UCLA Faculty Professional Development, on a study to understand student experiences and knowledge acquisition with this new technology.

Meet Ritu Salani, MD, MBA, the Newly Named Division Director for Gynecologic Oncology

UCLA OBGYN is pleased to announce Ritu Salani, MD, MBA, has joined the Department as Director of the Division of Gynecologic Oncology and

Ritu Salani
Ritu Salani, MD, MBA, Professor, UCLA Obstetrics and Gynecology

 Professor of Obstetrics and Gynecology. Dr. Salani comes to UCLA from The Ohio State University where she was a Professor and Fellowship Director at The Ohio State University. She completed medical school at the Northeastern Ohio Universities College of Medicine, followed by residency at Emory University and fellowship at Johns Hopkins University.

Ritu Salani, MD, MBA, Professor, UCLA Obstetrics and Gynecology

Dr. Salani’s clinical and research interests include novel therapeutics for cervical cancer and survivorship care for women with gynecologic malignancies. Her expertise in clinical therapeutic research will serve as a strong foundation to build an enhanced portfolio of clinical trials for UCLA Health patients. Dr. Salani is Principal Investigator on two large national studies in cervical cancer, evaluating the role of immunotherapy in combination with radiation as well as novel agents (TIGIT inhibitor and PARP inhibitors) to improve outcomes in women with advanced cervical cancer. She is also actively involved in industry partnerships as well as national co-operative groups.

Recognizing the need for earlier intervention as a strategy to optimize cancer prevention and care, she uses her new position to focus on expanding UCLA’s outreach efforts and care into more underserved areas through Los Angeles County.

Dr. Salani is an active member of the Society of Gynecologic Oncology and the International Gynecologic Cancer Society, where she serves as the Chair of the Education Committee. With her ongoing commitment to education, she hopes to work with the Department to improve and expand our education and professional development programs.

When considering the move to UCLA, Dr. Salani said “I was very fortunate to have great partners and strong support at Ohio State, but recognized that UCLA would provide me with the opportunity to make an even greater impact in our field. Joining this world class faculty and working with such respected leaders as Dr. Krakow and Dr. Karlan, I hope to add my support to the strong portfolio of care, research and training we offer at UCLA. Helping improve the quality and delivery of care to women in Los Angeles and the surrounding areas was a great attraction for me." Dr. Salani will see patients in our Westwood clinic.

Meet Our New UCLA OBGYN Fellows for the 2020-21 Academic Year

Five new fellows joined the UCLA Department of Obstetrics and Gynecology in July 2020.  Our fellowship programs are designed to train exceptional clinicians, researchers, and leaders in the fields of Family Planning, Female Pelvic Medicine and Reconstructive Surgery, Gynecologic Oncology,Maternal-Fetal Medicine, and Reproductive Endocrinology and Infertility.

Abigail Armstrong, MD
 

Abigail Armstrong, MD
Reproductive Endocrinology and Infertility

Dr. Armstrong completed her obstetrics and gynecology residency at UCLA where she was the Administrative Chief during her fourth year. She received her medical degree at George Washington University School of Medicine. Dr. Armstrong’s clinical and research interests lie in broadening access to fertility treatments and providing fertility preservation for reproductive age cancer patients. 


Aneesh Gupta, MD
 

Aneesh Gupta, MD
Family Planning

Dr. Gupta is making a cross-country move to join UCLA following his obstetrics and gynecology residency at Drexel University and the Hospital of the University of Pennsylvania in Philadelphia, Pennsylvania. He completed his medical degree at University of Queensland School of Medicine. Dr. Gupta’s clinical and research interests include telemedicine, low-cost interventions, increasing access to care, abortion deserts, as well as public policy and laws regarding abortion care.


Leah Marsh, MD
 

Leah Marsh, MD
Gynecologic Oncology

Dr. Marsh completed her residency in obstetrics and gynecology at nearby Cedars Sinai Medical Center. Prior to her residency she completed her medical degree at The Ohio State University College of Medicine. Dr. Marsh is interested in personalized medicine and cancer genetics, broadening access to screening for hereditary cancer assessment in underserved patient populations, and previvorship and survivorship among women with hereditary breast and ovarian cancer.


Michael Richley
 

Michael Richley, MD
Maternal Fetal Medicine

Dr. Richley returns to California after completing his residency at Montefiore Medical Center in New York City. Prior to his residency Dr. Richley completed his medical degree at the University of California, Irvine. His research interests are in the management and pathophysiology of gestational and pre-gestational diabetes.


Michele Torosis
 

Michele Torosis, MD
Pelvic Female Medicine and Reproductive surgery

Dr. Torosis joins us from Northern California where she completed her obstetrics and gynecology residency at Stanford University Hospital. She completed her medical degree at University of California, Irvine. Her clinical and research interests intersect to include surgical innovation, defecatory disorders, novel treatment modalities for complex pelvic floor disorders and medical education.

New and Noteworthy

UCLA faculty who have been recognized for excellence in clinical care, research and teaching

Yalda Afshar, MD, PhD, UCLA OBGYN assistant professor in-residence, was awarded funding from the NIH/NICHD Reproductive Scientists

Lab Researcher

 Development Program for her study "Maternal-fetal Hemodynamics and Genetic Modifiers of Single-ventricle Congenital Heart Disease." She also received grants from the Gates Foundation and the CDC Foundation for work on COVID-19 and Pregnancy and the PRIORITY registry, as well as an Iris Cantor - UCLA Women’s Health Center pilot award.

 

Joshua Cohen, MD, UCLA OBGYN health sciences assistant clinical professor, was named the UCLA DGSOM Gynecologic Oncology Fellowship Program Director.

Daniel Dumesic, MD, UCLA OBGYN professor, was notified by the Endocrine Society that his paper “Adipose Insulin Resistance in Normal-Weight Women with Polycystic Ovary Syndrome” previously published in The Journal of Clinical Endocrinology and Metabolism was one of the top 10 percent of articles published in the journal in 2018-2019, as assessed by rate of citation.

Tamara Grisales, MD, UCLA OBGYN health sciences assistant clinical professor, Leena Nathan, MD, UCLA OBGYN assistant clinical professor – voluntary, and Dr. Yalda Afshar, have been selected as Fellows for the 2020-21 UCLA Biodesign Program - Accelerated Track. This program provides participants a process for identifying, assessing and de-risking meaningful health care technology opportunities through workshops with peers and medical technology industry mentors. Drs. Nathan and Grisales, in collaboration with Dr. Song Li, department chair of UCLA Bioengineering, are working together to create a novel device to deliver vaginal medications. Dr. Afshar is focused on optimizing the placental circuit (the feto-placental unit) in-vivo and in-vitro with an emphasis on the interaction of environmental influences on genetic modifiers in maternal and fetal congenital heart disease through multidisciplinary collaborations to answer clinically relevant questions.

Christina Jung, MD, family planning fellow, was awarded funding from the Society of Family Planning for a qualitative study of womens’ experiences with delays in abortion care in California.

Beth Karlan, MD, professor and vice chair of women’s health research has been appointed to the National Academies’ National Cancer Policy Forum and named as chair of the National Academy of Medicine’s interest group on Maternal and Child Health and Human Development.

Aparna Sridhar, MD, UCLA OBGYN health sciences associate clinical professor and director of marketing and innovations, was an invited speaker at the All India Congress of Obstetricians and Gynecologists (AICOG) where she also conducted a workshop in first trimester ultrasound basics with an ACOG and GE partnership.

Mae Zakhour, MD, UCLA OBGYN Health Sciences Assistant Clinical Professor, is a co-author on the manuscript “Expression of stromal progesterone receptor and differential methylation patterns in the endometrium may correlate with response to progesterone therapy in endometrial complex atypical hyperplasia” published in the journal Reproductive Sciences.

Christine Han, MD, Director, Maternal-Fetal Medicine Fellowship Program has been named as a COVID-19 Task Force Member for the Society for Maternal-Fetal Medicine.

PRIORITY Registry

Research Update: National Registry Set Up During the COVID-19 Pandemic to Help Doctors Understand Risks Posed to Pregnant Women and Newborns

The Pregnancy Coronavirus Outcomes Registry (PRIORITY) is a nationwide registry launched in the midst of the COVID-19 pandemic to address questions about health risks specifically relevant to pregnant or recently pregnant women and their newborns.

PRIORITY is a joint collaboration between the UCLA and UCSF Departments of Obstetrics and Gynecology. Dr. Yalda Afshar, principal investigator at UCLA, says “PRIORITY is focused on building a national infrastructure for collecting clinically relevant data and bio-specimens from pregnant women (and those immediately postpartum) to answer questions for our patients while simultaneously understanding the biology to work towards mechanistic understanding. What we learn through this database allows us to better screen, treat and guide interventions for women and children.” Additionally, Dr. Grace Aldrovani, Chief of the Division of Infectious Diseases at UCLA Mattel Children’s Hospital, and Dr. Deborah Krakow, Chair of OBGYN, serve as members of the PRIORITY steering committee.

PRIORITY’s goal is to evaluate the presentation, disease course, and clinical outcomes for pregnant women infected with CoVID-19. Outcomes will focus on the clinical course of disease in the patient during and after her pregnancy including all key obstetric outcomes with biological rationale and experimentation. 

To date there are over 1,200 participants from across the country representing diverse racial and ethnic groups. The work of PRIORITY is in collaboration with the Reproductive Health Equity and Birth Justice Core that aims to understand how racism and other factors impact pregnant people with CoVID-19. 

UCLA OBGYN Publications

Novel use of social media in exploration of regional differences in management and outcomes of monochorionic-diamniotic twins.
Datkhaeva I, Paek B, Walker M, Liu H, Kwan L, Rao R, Scibetta E, Afshar Y, Holliman K, Wong T, Platt LD, Han CS. Am J Perinatology, Published online ahead of print, 2020 Jan 30. PMID: 32000293.

Availability of Fertility Preservation Information on the Websites of U.S. News and World Report Top-Ranked Pediatric Cancer Programs.
Hoyos-Martinez A, Hoyos LR, Putra M, Armstrong AA, Rambhatla A, Allen-Rhoades W, Brennan K. J Adolesc Young Adult Oncol. 2020 May 27. doi: 10.1089/jayao.2020.0003. Online ahead of print. PMID: 32460587

Androgen Receptors in Multiple Organ Systems Provide Molecular Gateways to Polycystic Ovary Syndrome?
Abbott DH, Levine JE, Dumesic DA.Endocrinology. 2020 Jun 12:bqaa095. doi: 10.1210/endocr/bqaa095. Online ahead of print. PMID: 32530028 No abstract available.

Development and validation of the gene-expression Predictor of high-grade-serous Ovarian carcinoma molecular subTYPE (PrOTYPE).
Aline Talhouk , Joshy George, Chen Wang, Timothy Budden , Tuan Zea Tan, Beth Y. Karlan, Michael S. anglesio, et al. Clin Cancer Res. 2020 Jun 17:clincanres.0103.2020. doi: 10.1158/1078-0432.CCR-20-0103. Online ahead of print. PMID: 32554541

Fetal cardiac rhabdomyomas treated with maternal sirolimus.
Pluym ID, Sklansky M, Wu JY, Afshar Y, Holliman K, Devore GR, Walden A, Platt LD, Krakow D. Prenat Diagn. 2020 Feb;40(3):358-364. doi: 10.1002/pd.5613. Epub 2020 Jan 2. PMID:31742705

Expression of Stromal Progesterone Receptor and Differential Methylation Patterns in the Endometrium May Correlate with Response to Progesterone Therapy in Endometrial Complex Atypical Hyperplasia.
Neal AS, Nunez M, Lai T, Tosevska A, Morselli M, Amneus M, Zakhour M, Moatamed NA, Pellegrini M, Memarzadeh S. Reprod Sci. 2020 Mar 2. doi: 10.1007/s43032-020-00175-w. Online ahead of print. PMID: 32124398

Laparoscopic Radiofrequency Ablation of Uterine Leiomyomas: Clinical Outcomes during Early Adoption into Surgical Practice.
Jacoby VL, Parvataneni R, Oberman E, Saberi NS, Varon S, Schembri M, Waetjen LE.J Minim Invasive Gynecol. 2020 May-Jun;27(4):915-925. doi: 10.1016/j.jmig.2019.07.025. Epub 2019 Jul 31. PMID: 31376584

Inhibition of collagen XI alpha 1-induced fatty acid oxidation triggers apoptotic cell death in cisplatin-resistant ovarian cancer. 
Nallanthighal S, Rada M, Heiserman JP, Cha J, Sage J, Zhou B, Yang W, Hu Y, Korgaonkar C, Hanos CT, Ashkavand Z, Norman K, Orsulic S, Cheon DJ. Cell Death Dis. 2020 Apr 20;11(4):258. doi: 10.1038/s41419-020-2442-z. 

Euploid rates among oocyte donors: is there an optimal age for donation?
Hoyos LR, Cheng CY, Brennan K, Hubert G, Wang B, Buyalos RP, Quinn M, Shamonki M. J Assist Reprod Genet. 2020 Mar;37(3):589-594. doi: 10.1007/s10815-020-01694-w. Epub 2020 Jan 18. PMID: 31955339

The impact of state legalization on rates of marijuana use in pregnancy in a universal drug screening population.
Lee E, Pluym ID, Wong D, Kwan L, Varma V, Rao R. J Matern Fetal Neonatal Med. 2020 May 18:1-8. doi: 10.1080/14767058.2020.1765157. Online ahead of print. PMID: 32419547

Moving Forward in Cervical Cancer - Enhancing Susceptibility to DNA Repair Inhibition and Damage: NCI Clinical Trials Planning Meeting Report.
Harkenrider MM, Markham MJ, Dizon DS, Jhingran A, Salani R, Serour RK, Lynn J, Kohn EC. J Natl Cancer Inst. 2020 Mar 27:djaa041. doi: 10.1093/jnci/djaa041. Online ahead of print. PMID: 32219419

Novel use of a social-media-based survey to detect regional differences in management of monochorionic-diamniotic twins.
Pluym ID, Paek B, Walker M, Hui L, Kwang L, Rao R, Scibetta E, Afshar Y, Holliman K, Wong T, Platt LD, Han CS. Am J Perinatol. 2020 Jan 30. doi: 10.1055/s-0039-1701027