Neurocysticercosis
Find your care
Our expert neurosurgery team is committed to providing the finest and most comprehensive patient care. For help finding a neurosurgeon, call 310-825-5111.
About Neurocysticercosis
General Information
- Cysticercosis is a parasitic disease commonly found in underdeveloped areas including Mexico, Central America, China, Korea, Indiaand parts of Eastern Europe. While previously uncommon in the industrialized countries, this parasitic infestation is becoming more prevalent in the United States as a result of the recent influx of immigrants.
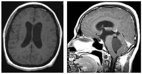
- When cysticercosis affects the brain or spinal cord, the condition is called neurocysticercosis. Usually, the cyst causes inflammation in the brain tissue itself which results in a seizure. In about 10% of neurocysticercosis cases, the cysts are found within the cerebral ventricles or in the cerebrospinal fluid spaces (cisterns). This can cause hydrocephalus or symptoms due to pressure on the brain.
- In about 10 percent of neurocysticercosis cases the cysts are found within the cerebral ventricles or in the cerebrospinal fluid spaces (cisterns). This can cause hydrocephalus or symptoms due to pressure on the brain.
- The most common symptoms are related to hydrocephalus. The onset of symptoms, including headache, vomiting, seizures, can be rather sudden and can result in death. A degenerating cyst can cause symptoms of meningitis.
- Cisternal cysts can act like brain tumors, causing symptoms due to compression of the brain. The symptoms will depend upon which part of the brain is affected.
Diagnosis
- Diagnosis is best made by magnetic response imaging (MRI), although intraventricular cysts can sometimes be very difficult to detect on routine MRI imaging.
Treatment
The management of intraventricular and cisternal neurocysticercosis can include several options:
- Neuroendoscopic removal of the cyst. UCLA neurosurgeons have extensive experience with this technique.
- Treatment with antihelminthic medications, usually is limited to small asymptomatic cysts.
- This option is usually limited to small, asymptomatic cysts.
- Placement of a shunt.
The Neuro-ICU cares for patients with all types of neurosurgical and neurological injuries, including stroke, brain hemorrhage, trauma and tumors. We work in close cooperation with your surgeon or medical doctor with whom you have had initial contact. Together with the surgeon or medical doctor, the Neuro-ICU attending physician and team members direct your family member's care while in the ICU. The Neuro-ICU team consists of the bedside nurses, nurse practitioners, physicians in specialty training (Fellows) and attending physicians. UCLA Neuro ICU Family Guide