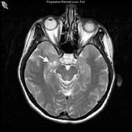
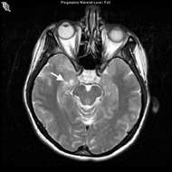
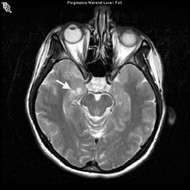
Ganglioglioma
Find your care
Our expert neurosurgery team is committed to providing the finest and most comprehensive patient care. For help finding a neurosurgeon, call 310-825-5111.
About Ganglioglioma Brain Tumor
A Ganglioglioma is rare brain tumor that commonly causes seizures.
Symptoms
- Seizures can be present for months or years before the diagnosis is made.
Diagnosis
- The diagnosis is usually suspected on a magnetic resonance imaging (MRI) scan.
- Confirmation requires biopsy and resection
Treatment
- Seizure management
- Management may be complex due to difficult-to-control seizures.
- May require a neurologist specializing in epilepsy.
- Surgical removal of the tumor is often the best way to control seizures
- Surgery
- The goal typically is complete removal of the tumor. In some cases, incomplete removal may be necessary if the tumor is located in critical areas of the brain
- For tumors near language areas of the brain, obtaining a complete resection can be challenging.
- The UCLA Brain Tumor Program has neurosurgeons with extensive experience in removing "high risk" and challenging gangliogliomas.
- Often, gangliogliomas are best removed with the aid of intra-operative MRI, allowing the most complete, safest surgery possible.
- Exact mapping of the most important brain regions may require part of the operation to be performed while you are awake. UCLA neuro-anesthesiologists have specific expertise in this challenging technique, and together with your neurosurgeon perform several "awake" brain surgeries each month.
Outcome
- More than 95 percent of gangliogliomas are low grade and usually do not recur after removal.
Neuro-ICU
The Neuro-ICU cares for patients with all types of neurosurgical and neurological injuries, including stroke, brain hemorrhage, trauma and tumors. We work in close cooperation with your surgeon or medical doctor with whom you have had initial contact. Together with the surgeon or medical doctor, the Neuro-ICU attending physician and team members direct your family member's care while in the ICU. The Neuro-ICU team consists of the bedside nurses, nurse practitioners, physicians in specialty training (Fellows) and attending physicians. UCLA Neuro ICU Family Guide