Neurosurgery
Aqueductal Stenosis
Find your care
Our expert neurosurgery team is committed to providing the finest and most comprehensive patient care. For help finding a neurosurgeon, call 310-825-5111.
What is Aqueductal Stenosis?
Definition
- Aqueductal stenosis is one of the known causes of hydrocephalus and the most common cause of congenital (present at birth) hydrocephalus. It can also be acquired during childhood or adulthood. In some cases, this is due to a brain tumor compression (such as a pineal tumor) surrounding the aqueduct of Sylvius.
Symptoms
- Symptoms are related to hydrocephalus. Hydrocephalic patients with aqueductal stenosis are more likely to have difficulty looking up (“upward gaze palsy”).
Diagnosis
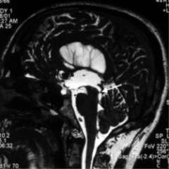
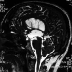
- The diagnosis of aqueductal stenosis is best made by magnetic resonance imaging (MRI), particularly using a special constructive interference in steady state (CISS), or fast imaging employing steady-state acquisition (FIESTA) sequence. CISS imaging is not available at all imaging Centers.
Treatment
- Endoscopic third ventriculostomy.
- This technique is generally favored.
- More than 200 endoscopic third ventriculostomies have been performed in adults at UCLA.
- Shunt placement.
- Endoscopic aqueductoplasty and stent placement.
The Neuro-ICU cares for patients with all types of neurosurgical and neurological injuries, including stroke, brain hemorrhage, trauma and tumors. We work in close cooperation with your surgeon or medical doctor with whom you have had initial contact. Together with the surgeon or medical doctor, the NeuroICU attending physician and team members direct your family member's care while in the ICU. The NeuroICU team consists of the bedside nurses, nurse practitioners, physicians in specialty training (Fellows) and attending physicians. UCLA Neuro ICU Family Guide