Radiology

Case: Atypical Lobular Hyperplasia (ALH)

By Dan Li, MD and Reza Fardanesh, MD

Introduction 

Atypical lobular hyperplasia (ALH) is one of several high-risk lesions that can occur in the breast and may require surgical management. High-risk lesions are findings that either have upgrade potential to malignancy (“pre-cancerous” lesions) or indicate an increased lifetime risk for breast cancer.

Atypical lobular hyperplasia and lobular carcinoma in situ are considered lobular neoplasia. ALH arises from lobules or small lobular ducts. The distinction between ALH and lobular carcinoma in situ (LCIS) is made based on the degree of acinar involvement.1 ALH is most often found in premenopausal women and is often bilateral.1 If diagnosed, ALH can portend up to a five-fold increased risk of cancer in either breast; if cancer often does occur it will most likely be LCIS and in the ipsilateral breast.2

Pathology 

Histologically, ALH is defined by the presence of small, loosely cohesive groups of atypical cells within the acini of the terminal duct lobular units (TDLU). The cells demonstrate a loss of normal architecture and exhibit nuclear atypia. Unlike lobular carcinoma in situ (LCIS), in ALH less than half the acini of the TDLU are expanded and filled with atypical cells.1  

In ALH and classical LCIS, immunohistochemical staining typically shows the cells being positive for estrogen and progesterone receptors, aiding in distinguishing ALH from other lesions. There is a significant degree of overlap between ductal and lobular histological features, and there are lesions that exhibit features of both (mixed ductal/lobular carcinomas). Additionally, there are more rare non-classic variants of lobular carcinoma, the discussion of which is beyond the scope of this article.3 

 

Imaging appearance 

The imaging appearance of ALH is non-specific, with significant overlap when compared to other suspicious and malignant lesions within the breast. On mammography, the most common presentation of ALH is calcification (60-90% of cases), most often pleomorphic, followed by amorphous and coarse heterogeneous calcifications. Architectural distortion and masses are also seen in association with ALH, though less common.4

Given that ALH is most often associated with suspicious calcifications, the sonographic appearance is of less well described. When seen, ALH most often presents as a hypoechoic mass, with a variety of margin appearances.4 

There is limited data regarding the MRI appearance of ALH. One study showed that most cases of ALH presented as NME, however given the limited sample size this may not reflect the true distribution of MRI appearances.4 

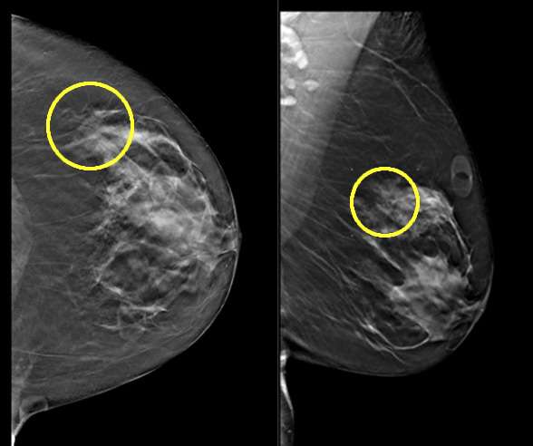
Case: Atypical Lobular Hyperplasia Figure 1
Questionable distortion on screening mammogram. Finding consistent with biopsy proven ALH. There was no sonographic correlate on diagnostic ultrasound (not shown).
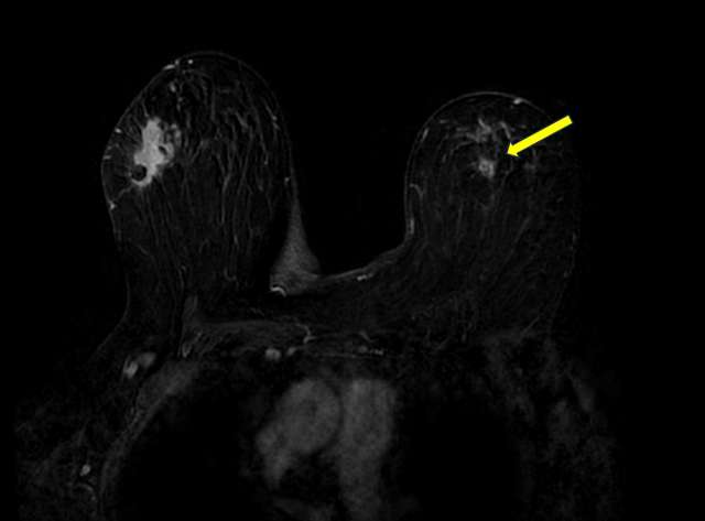
Case: Atypical Lobular Hyperplasia Figure 2
Irregular enhancing mass in the left superior breast (yellow arrow), consistent with biopsy proven atypical lobular hyperplasia. Also noted is invasive ductal carcinoma in the right breast, containing a biopsy marker.

Management 

The management of ALH typically involves careful monitoring and may include additional imaging or biopsies to rule out coexisting malignancies. Surgical excision may be considered if there are associated findings suggestive of malignancy or if the lesion is clinically significant. Risk-reducing strategies, such as prophylaxis medication/lifestyle modifications and chemoprevention, may be discussed with patients to mitigate the increased risk of breast cancer associated with ALH.1

References

  1. Heller SL, Gao Y. "Update on Lobular Neoplasia." Radiographics. 2023 Oct;43(10):e220188. DOI: 10.1148/rg.220188. PMID: 37676825.
  2. Myers DJ, Walls AL. "Atypical Breast Hyperplasia." [Updated 2023 Feb 6]. In: StatPearls [Internet]. Treasure Island (FL): StatPearls Publishing; 2024 Jan-. Available from: https://www.ncbi.nlm.nih.gov/books/NBK470258/
  3. Ciriello G, Gatza ML, Beck AH, Wilkerson MD, Rhie SK, Pastore A, Zhang H, McLellan M, Yau C, Kandoth C, Bowlby R, Shen H, Hayat S, Fieldhouse R, Lester SC, Tse GM, Factor RE, Collins LC, Allison KH, Chen YY, Jensen K, Johnson NB, Oesterreich S, Mills GB, Cherniack AD, Robertson G, Benz C, Sander C, Laird PW, Hoadley KA, King TA; TCGA Research Network; Perou CM. "Comprehensive Molecular Portraits of Invasive Lobular Breast Cancer." Cell. 2015 Oct 8;163(2):506-19. DOI: 10.1016/j.cell.2015.09.033. PMID: 26451490; PMCID: PMC4603750.
  4. Ferre, R., Kuzmiak, C.M. "Atypical Lobular Hyperplasia: What We Need to Know." J Med Imaging Intervent Radiol 11, 12 (2024). https://doi.org/10.1007/s44326-024-00011-4