by Bowen Wei, MD and Nooshin Najmi, MD 

Introduction

Papillary carcinoma is a rare subtype of breast cancer that comprises of a group of heterogenous tumors and accounts for approximately 1-2% of breast carcinomas in women.1,2 They are classified as either in situ or invasive, and typically affect older postmenopausal women and in relative terms, male patients when compared to other breast carcinomas.3 Most common clinical presentations are bloody nipple discharge, abnormal palpable masses on physical exam, or abnormal mammographic findings.3

Pathology

Histologically, papillary carcinoma as a group shares a similar growth pattern which is characterized by proliferations of epithelial cells with the presence of arborescent fibrovascular stalks.3 Individually, each tumor type displays distinct microscopic features and can be further classified into different subtypes: encapsulated papillary carcinoma, solid papillary carcinoma, papillary ductal carcinoma in situ, and invasive papillary carcinoma.2,3 The important feature that distinguishes malignant papillary proliferations of the breast from benign intraductal papilloma is the lack of an intact myoepithelial cell layer within the papillae in malignant lesions.3

Encapsulated papillary carcinoma, also known as intracystic papillary carcinoma, is usually solitary with well circumscribed margins. The involved ducts are often surrounded by a thick fibrous capsule. These lesions frequently require excisional biopsy for adequate diagnosis, and most are low to intermediate nuclear grade. They are generally regarded as indolent carcinomas that can sometimes contain invasive components.3, 4

Solid papillary carcinoma is often characterized histologically as well circumscribed and densely cellular, containing expansile nodules that may exhibit neuroendocrine features.5 Like encapsulated papillary carcinoma, these lesions often require excisional biopsy for adequate diagnosis. Given that most are low to intermediate nuclear grade, solid papillary carcinomas are also considered indolent lesions. Nevertheless, they can be associated with invasive components and manifest as mucinous, neuroendocrine like carcinoma, or other histologic types of invasive carcinoma.3, 5

In papillary ductal carcinoma in situ (papillary DCIS), the underlying pre-existing benign papilloma is not seen, and it is characterized by the presence of neoplastic epithelium lining the fibrovascular fronds. As most are low to intermediate nuclear grade, they are also considered indolent lesions.3

Invasive papillary carcinoma is rare and exhibits a total loss of myoepithelial cells within the fibrovascular papillae. Its histologic appearance resembles that of other types of invasive carcinomas but with an infiltrative papillary growth.2,3 Both encapsulated and solid papillary carcinomas are not currently classified as invasive papillary carcinomas, although a subset of these tumors can exhibit invasive features as discussed previously.3

Imaging Features

No definite sonographic or mammographic features can be used to reliably distinguish the different subtypes of papillary carcinoma. Mammographically, they often present as large, well defined, lobulated masses. On ultrasound, they are usually hypoechoic, solid and cystic masses with or without associated posterior acoustic enhancement.6 On MRI, they usually present as enhancing complex cystic or multicystic lesions with a solid central component; the solid component can show either homogeneous or heterogeneous enhancement. 7

Treatment

Papillary carcinoma pertains to a favorable prognosis, with surgical excision as the mainstay of treatment for both encapsulated and solid papillary carcinomas. Radiation and hormonal treatment may be added in conjunction with surgery and should be individualized based on patients’ clinical need and age.Choice of treatment should also take into consideration the associated pathology and whether there are invasive components identified on the resected specimen.9 

Case 1

Case: Papillary Carcinoma Figure 1
Figure 1A , 1B. 71-year-old female presents for callback from screening. Mammography showed a well circumscribed mass measuring approximately 14 mm in the left breast. Targeted sonography demonstrated an irregular, hypoechoic mass with indistinct margins measuring 14 mm x 7 mm x 7 mm at 12 o’clock, 2 centimeters from the nipple. A biopsy was performed which showed an atypical papillary lesion, favored to be low grade solid papillary carcinoma. Patient subsequently underwent wire localized lumpectomy at an outside hospital with the final diagnosis determined to be low grade solid papillary carcinoma without evidence of invasive carcinoma.

Case 2

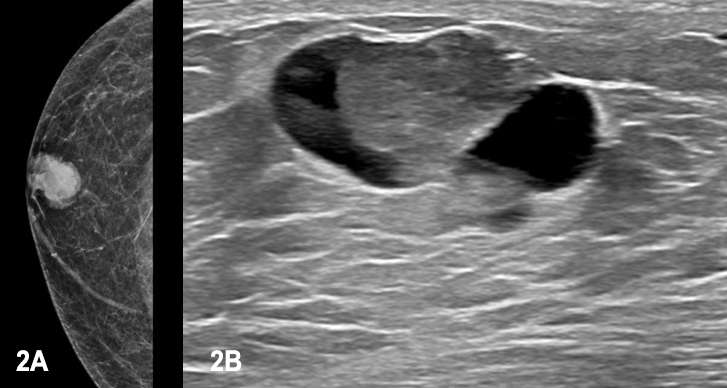
Case: Papillary Carcinoma Figure 2
Figure 2A, 2B. 66-year-old male presents for the evaluation of a palpable lump in the right breast. The right breast mammogram showed a lobulated oval mass with circumscribed margins measuring approximately 23 mm, which corresponded to the palpable lump clinically. Targeted sonography demonstrated a complex solid and cystic mass with circumscribed margins measuring 23 mm x 23 mm x 13 mm at 11 o’clock, 2 centimeters from the nipple. Excisional biopsy of the mass was performed which showed intermediate grade encapsulated papillary carcinoma with possible components of invasive carcinoma. Patient subsequently underwent mastectomy with final diagnosis determined to be encapsulated papillary carcinoma without invasive features.

References:

  1. Soo MS, Williford ME, Walsh R, Bentley RC, Kornguth PJ. "Papillary Carcinoma of the Breast: Imaging Findings." AJR Am J Roentgenol. 1995 Feb;164(2):321-6. DOI: 10.2214/ajr.164.2.7839962. PMID: 7839962.
  2. Rakha EA, Ahmed MA, Ellis IO. "Papillary Carcinoma of the Breast: Diagnostic Agreement and Management Implications." Histopathology. 2016 Nov;69(5):862-870. DOI: 10.1111/his.13009. Epub 2016 Aug 1. PMID: 27270947.
  3. Pal SK, Lau SK, Kruper L, Nwoye U, Garberoglio C, Gupta RK, Paz B, Vora L, Guzman E, Artinyan A, Somlo G. "Papillary Carcinoma of the Breast: An Overview." Breast Cancer Res Treat. 2010 Aug;122(3):637-45. DOI: 10.1007/s10549-010-0961-5. Epub 2010 Jun 4. PMID: 20524058; PMCID: PMC3244819.
  4. Rakha EA, Gandhi N, Climent F, van Deurzen CH, Haider SA, Dunk L, Lee AH, Macmillan D, Ellis IO. "Encapsulated Papillary Carcinoma of the Breast: An Invasive Tumor with Excellent Prognosis." Am J Surg Pathol. 2011 Aug;35(8):1093-103. DOI: 10.1097/PAS.0b013e31821b3f65. PMID: 21753694.
  5. Tan BY, Thike AA, Ellis IO, Tan PH. "Clinicopathologic Characteristics of Solid Papillary Carcinoma of the Breast." Am J Surg Pathol. 2016 Oct;40(10):1334-42. DOI: 10.1097/PAS.0000000000000702. PMID: 27438988.
  6. McCulloch GL, Evans AJ, Yeoman L, Wilson AR, Pinder SE, Ellis IO, Elston CW. "Radiological Features of Papillary Carcinoma of the Breast." Clin Radiol. 1997 Nov;52(11):865-8. DOI: 10.1016/s0009-9260(97)80083-9. PMID: 9392466.
  7. Bonnet SE, Carter GJ, Berg WA. Encapsulated Papillary Carcinoma of the Breast: Imaging Features with Histopathologic Correlation." J Breast Imaging. 2020 Nov 21;2(6):590-597. DOI: 10.1093/jbi/wbaa068. PMID: 38424859.
  8. Rehman B, Mumtaz A, Sajjad B, Urooj N, Khan SM, Zahid MT, Mannan H, Chaudhary MZ, Khan A, Parvaiz MA. "Papillary Carcinoma of Breast: Clinicopathological Characteristics, Management, and Survival." Int J Breast Cancer. 2022 Oct 13;2022:5427837. DOI: 10.1155/2022/5427837. PMID: 36275485; PMCID: PMC9584724.
  9. Solorzano CC, Middleton LP, Hunt KK, Mirza N, Meric F, Kuerer HM, Ross MI, Ames FC, Feig BW, Pollock RE, Singletary SE, Babiera G. "Treatment and Outcome of Patients with Intracystic Papillary Carcinoma of the Breast." Am J Surg. 2002 Oct;184(4):364-8. DOI: 10.1016/s0002-9610(02)00941-8. PMID: 12383904.