By: Dr. Daniella Boros and Dr. Mollie Rashid

Breast cancer invasion of the chest wall is associated with advanced disease, impacting breast cancer staging and treatment options. Chest wall invasion in breast cancer occurs when tumor extends beyond the breast tissue to underlying structures. The chest wall anatomy is illustrated in Figure 1. Chest wall invasion is defined as tumor involvement of the bones (i.e, ribs, sternum) and/or muscles of the chest wall (serratus anterior or intercostal muscles)1,2. These structures are deep to the pectoralis muscles. While involvement of the pectoralis muscles is important for breast cancer management, involvement of the pectoralis muscles alone is not considered chest wall invasion for the purposes of breast cancer staging2.

Case: Chest Wall Invasion Figure 1
Figure 1: Bilateral breast MRI, T1 sequence illustrating chest wall anatomy. The chest wall includes the sternum, ribs, intercostal muscles and serratus anterior (yellow arrows).

Chest wall invasion indicates advanced disease and is often associated with poorer prognoses. According to the American Joint Committee on Cancer (AJCC) 8th edition staging system, chest wall invasion is indicative of stage IIIB breast cancer, regardless of primary tumor size2,3. This has important implications for breast cancer management and prognosis. Chest wall invasion represents advanced spread of cancer and is associated with poorer prognosis when compared to local disease confined to the breast tissue. Management often involves neoadjuvant chemotherapy (chemotherapy before surgery or other treatment) to reduce the tumor size, potentially allowing for less extensive surgery, if indicated. Surgical intervention depends on the extent of chest wall invasion and the presence of additional factors such as lymph node involvement or distant metastatic disease4

Chest wall invasion is diagnosed using various imaging modalities including mammography, ultrasound, and magnetic resonance imaging (MRI). MRI is particularly useful for assessing extent of chest wall invasion1.

The following cases provide examples of breast cancer with chest wall invasion. 

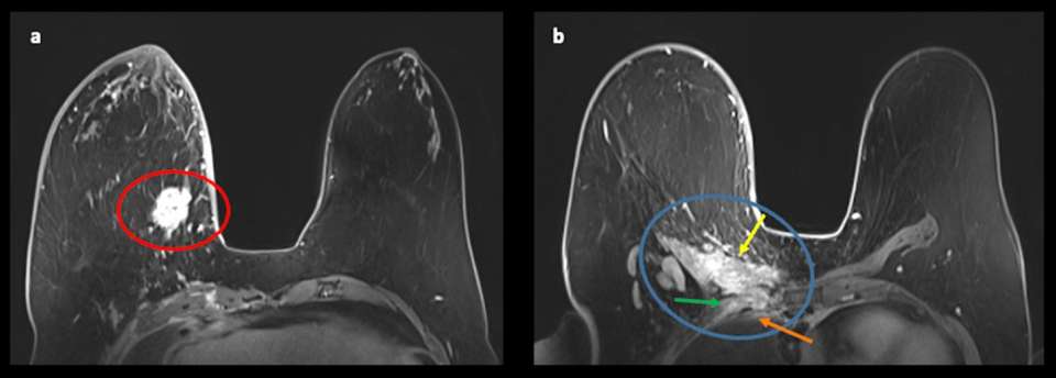
Case 1: Patient presented with a palpable right breast lump. Patient underwent diagnostic MRI which demonstrated the following (Figure 2). 

Case: Chest Wall Invasion Figure 2
Figure 2: Bilateral breast MRI a, b) T1 post-contrast images show an enhancing round mass with irregular margins (red circle). There is non-mass-like enhancement extending from this mass posteriorly with direct invasion of the chest wall (blue circle). There is enhancement of the pectoralis major muscle (yellow arrow) and right intercostal muscles (green arrow). There is circumferential enhancement of underlying right parietal pleura (orange arrow).

This patient was diagnosed with triple negative invasive ductal carcinoma. Due to extent of disease, patient was treated with neoadjuvant chemotherapy. 

Case 2: Patient with history of right breast cancer status post right mastectomy presenting with skin erythema. Patient underwent diagnostic MRI which demonstrated the following (Figure 3).

Case: Chest Wall Invasion Figure 3
Figure 3: Bilateral breast MRI T1 post-contrast image demonstrates an irregular enhancing mass in the midline at the cleavage with abnormal enhancement involving the sternum (red circle) and extending to the intercostal space of the chest wall (green arrow).

The patient was diagnosed with invasive ductal carcinoma and treated with neoadjuvant chemotherapy. 

References:

  1. Albasha H, Vijapura C, Brown A, Lewis K, Mahoney M, Wahab R. "Beyond Breast Cancer: Chest Wall Masses at Breast Imaging." Radiographics. 2023 May;43(5):e220091. doi: 10.1148/rg.220091. PMID: 37079457.
  2. Kalli S, Semine A, Cohen S, Naber SP, Makim SS, Bahl M. "American Joint Committee on Cancer's Staging System for Breast Cancer, Eighth Edition: What the Radiologist Needs to Know." Radiographics. 2018 Nov-Dec;38(7):1921-1933. doi: 10.1148/rg.2018180056. Epub 2018 Sep 28. PMID: 30265613.
  3. Breast cancer staging. ACS. (n.d.). https://www.facs.org/for-patients/the-day-of-your-surgery/breast-cancer-surgery/breast-cancer-types/breast-cancer-staging/
  4. Sepesi B. "Management of Breast Cancer Invading Chest Wall." Thorac Surg Clin. 2017 May;27(2):159-163. doi: 10.1016/j.thorsurg.2017.01.009. Epub 2017 Mar 2. PMID: 28363370.