Radiology

Case: Skin Retraction, Skin Thickening, and Nipple Retraction/Inversion: Imaging Appearance and Clinical Significance in Breast Cancer

By Malik Sana, MD and Daniel Bradley, MD

Introduction

Breast cancer can present with a variety of clinical exam findings and radiological signs, including skin retraction, skin thickening, and nipple retraction/inversion. These findings are significant as they may indicate the presence of an underlying malignancy and potential skin involvement. This article explores these radiologic findings and their appearance on mammography, ultrasound, and MRI.

Skin Retraction

Skin retraction refers to the inward pulling of the breast skin. If a patient has had prior breast surgery, this may be a normal post-surgical finding. However, any new or worsening skin retraction should be regarded with suspicion as this finding may be secondary to underlying tumor growth. Skin retraction is often visible on physical examination which should prompt further evaluation with dedicated imaging of the breast.

Radiologic Findings:

  • Mammography: Skin retraction may be noted as an irregular, pulled appearance of the skin. An underlying mass may or may not be mammographically visible.
  • Ultrasound: May further reveal distortion in the skin layers but is most helpful in further evaluating the presence of an underlying mass causing the retraction.

MRI: Provides detailed images demonstrating the extent of skin involvement and characteristics of a potential underlying malignancy.

Case: Skin and Nipple Changes
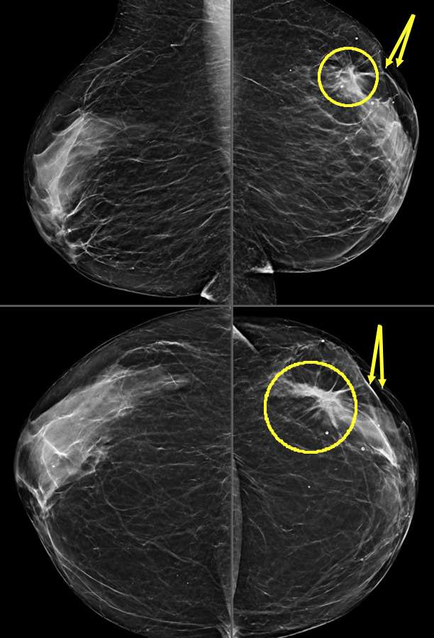
Figure 1: Skin Retraction on Mammogram. Patient presented for a palpable lump in the left breast. Mammographic MLO and CC projections demonstrate an irregular spiculated mass with associated architectural distortion (circle), and overlying skin retraction (arrows) in the upper outer quadrant of the left breast. Right side is included for comparison.
Case: Skin and Nipple Changes Figure 2
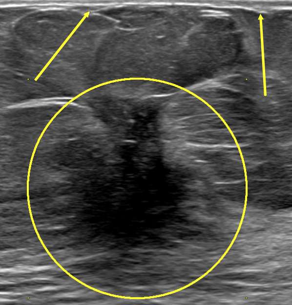
Figure 2: Skin Retraction on Ultrasound. Correlative grayscale ultrasound image demonstrates an irregular spiculated mass (circle). Skin retraction is difficult to appreciate on ultrasound (arrows), and is better evaluated on mammogram. Findings were consistent with biopsy proven invasive ductal carcinoma.

Nipple Retraction and Inversion

Nipple retraction or inversion can be a benign variant of normal nipple anatomy where the nipple lays flat or points inward instead of outwards. However, if this is a new finding rather than a long-standing finding, prompt imaging evaluation should be performed to exclude an underlying malignancy.

Radiologic Findings:

  • Mammography: Demonstrates a nipple that lays flat or points inwards rather than protruding outward. Sometimes, a mass can be seen in the subareolar area causing the nipple inversion.
  • Ultrasound: The nipple/subareolar area is difficult to evaluate on ultrasound because of the dark shadowing typically seen in this area. However, despite the difficulty of visualizing this area, sometimes masses may be seen. Additionally, ultrasound is helpful in evaluating for potential lymph node involvement in the setting of malignancy.
  • MRI: Provides generally provides excellent visualization of the nipple and the breast tissue in the subareolar area to evaluate for potential abnormal pathology and extension into the duct system.
Case: Skin and Nipple Changes Figure 3
Figure 3: Nipple Retraction on mammogram. Patient presented for right nipple changes. Mammographic MLO and CC projections demonstrate a retracted nipple (arrows) overlying an irregular mass in the subareolar region with associated architectural distortion (circles) in the right breast. Left breast included for comparison.
Case: Skin and Nipple Changes Figure 4
Figure 4: Nipple Retraction on Ultrasound. Correlative grayscale ultrasound image demonstrates an irregular hypoechoic mass in the subareolar region (circle) extending into the nipple (arrow).

 

Case: Skin and Nipple Changes Figure 5
Figure 5: Nipple Retraction on MRI. Axial contrast enhanced subtracted MR image demonstrates a spiculated enhancing mass in the right subareolar region with associated nipple retraction. Findings were consistent with biopsy proven invasive ductal carcinoma.

Skin Thickening

Skin thickening (greater than 2 mm) can be seen in a variety of benign conditions such as recent surgery, radiation, and volume overload states (for example congestive heart failure). However, skin thickening may also be seen when breast malignancy spreads to the lymphatic system.

Radiologic Findings:

  • Mammography: Can demonstrate skin and trabecular thickening or overall increased breast density.
  • Ultrasound: Provides a clear visualization of the thickness of the skin which can be easily measured and may be useful for evaluating for an underlying mass.
  • MRI: Helpful in assessing the extent of skin involvement and distinguishing between benign and malignant causes of skin thickening and assessing for underlying malignancies.
Case: Skin and Nipple Changes Figure 6
Figure 6: Skin Thickening on Mammogram. Patient presented for palpable abnormality of right breast. Mammographic MLO and CC projections demonstrate skin thickening of the periareolar region of the right breast with associated nipple retraction (left included for comparison).
Case: Skin and Nipple Changes Figure 7
Figure 7: Skin Thickening on MRI. Axial contrast enhanced subtracted MR image demonstrates a large area of non-mass enhancement involving the right superior and inferior lateral breast with extension to the axillary tail (circle). Thickening of the overlying skin can also be appreciated (arrow). Findings were consistent with biopsy proven intraductal carcinoma.

Clinical Correlation

The presence of skin retraction, skin thickening, and nipple retraction/inversion are important in diagnosing and staging breast cancer. These findings may correlate with more advanced disease stages and require further investigation to determine the extent of cancer spread and appropriate treatment options.

References:

  1. American Cancer Society. (2022). Breast Cancer Detection and Diagnosis. Retrieved from American Cancer Society
  2. Breastcancer.org. (2023). Breast Cancer Imaging Tests. Retrieved from Breastcancer.org
  3. Radiological Society of North America. (2023). Breast Imaging: Techniques and Findings. Retrieved from RSNA