Radiology

Non Breast Finding Seen on Breast Imaging

By Sundus Lateef, MD and Melissa Joines, MD 

  • Incidental findings on breast imaging may include actionable findings. These findings include vascular pathology such as aneurysmal dilation of the aorta, lung pathology such as nodules or masses, or liver pathology such as indeterminate masses.  
  • Incidental findings are common, seen in as many as one in three breast MRI examinations (1), and may necessitate further imaging workup. 
  • Bone cases 
  • Breast cancer most commonly initially metastasizes to the bones (1), and patients with bone metastases from breast cancer experience increased morbidity and mortality.  
  • When a bony lesion is identified incidentally on breast MRI, its features should be examined. When suspicious features such as T1 hypointensity, heterogenous enhancement, ill-defined borders and multiple lesions exist, additional imaging such as PET/CT, nuclear medicine bone scan or dedicated MRI should be recommended (2). 
  • In one study of 224 incidental bone lesions identified in over 29,000 breast MRIs, study authors confirmed with biopsy or imaging follow-up if the bony lesions were malignant. In lesions that were malignant (67/224), most patients had a new diagnosis of breast cancer, with the remaining patients having a history of prior breast cancer (3). Bone metastases were not identified in patients without a history of breast cancer. Metastatic lesions were commonly identified in the sternum, followed by the clavicles and anterior ribs.  
  • Liver cases  
  • The liver is the third most common site of breast cancer metastases (1). 
  • In some cases, incidental liver findings demonstrate features of benignity and do not necessitate further work-up. For example, a well-circumscribed T2 /STIR-hyperintense lesion without enhancement consistent with a liver cyst, or a lesion with peripheral nodular discontinuous enhancement on multiphase contrast-enhanced breast MRI in keeping with a hemangioma do no necessitate further imaging (1). 
  • In case of indeterminate liver lesions, it is recommended an abdominal MRI using hepatobiliary agents such as Eovist (Gadoxetic acid) be used so that lesions such as focal nodular hyperplasia (FNH) can be distinguished from lesions concerning for hepatic metastases in patients with known breast cancer (4).  
  • In a study of over 7,000 breast MRIs, most incidental liver lesions (97%) were benign, with incidental malignant hepatic lesions identified in patients with a history of newly diagnosed breast cancer (5). Of those patients with newly diagnosed breast cancer, 10% of incidental hepatic lesions were malignant, and these lesions were multifocal, invasive, large (>5 cm) and with adjacent abnormal lymph nodes.  
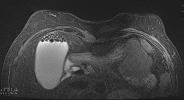
  • Other upper abdominal incidental findings include gallbladder pathology such as cholelithiasis or biliary pathology, as demonstrated in Figure 1, a patient with cholelithiasis and biliary ductal dilation.  
Case: Non Breast Finding Seen on Breast Imaging Figure 1
Figure 1. Cholelithiasis with mild proximal cystic ductal dilation on axial STIR imaging. Recommendation for correlation with patient's symptoms and liver function tests with consideration to right upper quadrant ultrasound versus MRCP was made.
  • Lung/mediastinum cases 
  • The lung is the second most common site of breast cancer metastases (1). Incidental pulmonary nodules, pleural effusions, and consolidations require careful comparison to prior imaging and/or may warrant further evaluation with chest computed tomography (CT). 
  • Patients with pulmonary artery hypertension (Figure 2) may require additional clinical evaluation for underlying factors such as chronic obstructive pulmonary disease or congestive heart failure.
Case: Non Breast Finding Seen on Breast Imaging Figure 2
Figure 2. Enlargement of the main pulmonary artery, measuring 32 mm. Recommendation for evaluation for pulmonary artery hypertension was made.
  • Incidental thyroid nodules should undergo additional imaging with thyroid ultrasound if they meet criteria per guidelines from the American College of Radiology. Thyroid ultrasound is indicated in patients younger than 35 years of age with incidental thyroid nodules measuring greater than 1.0 cm and in patients older than 35 years of age with incidental thyroid nodules measuring greater than 1.5 cm (6). Thyroid nodules should also be evaluated with additional imaging if they demonstrate suspicious features such as abnormal morphology or invasion into adjacent tissue. For example, this patient with an incidental superior mediastinal mass was recommended to undergo chest CT and/or thyroid ultrasound (Figure 3).   

    Case: Non Breast Finding Seen on Breast Imaging Figure 3
    Figure 3. 91-year-old patient with a history of left breast mastectomy with incidental heterogeneously enhancing mass within the superior mediastinum and with rightward tracheal deviation. Recommendation for chest CT and/or thyroid ultrasound was made to further characterize the extent and invasiveness of the lesion.
  • It is important to identify incidental findings on breast imaging and stratify which require additional imaging, as these may have implications for patient care. 

 

References

  1. Berman AT, Thukral AD, Hwang WT, Solin LJ, Vapiwala N. "Incidence and Patterns of Distant Metastases for Patients with Early-stage Breast Cancer After Breast Conservation Treatment." Clin Breast Cancer. 2013 Apr;13(2):88-94. DOI: 10.1016/j.clbc.2012.11.001. Epub 2012 Dec 5. PMID: 23218473.
  2. Chung M, Ton L, Lee AY. "Forget Me Not: Incidental Findings on Breast MRI." J Breast Imaging. 2024 Jul 30;6(4):430-448. DOI: 10.1093/jbi/wbae023. PMID: 38758984.
  3. Corines MJ, Coffey K, Dou E, Lobaugh S, Zheng J, Hwang S, Feigin K. "Bone Lesions Detected on Breast MRI: Clinical Outcomes and Features Associated with Metastatic Breast Cancer." J Breast Imaging. 2022 Nov-Dec;4(6):600-611. DOI: 10.1093/jbi/wbac053. Epub 2022 Aug 29. PMID: 37744182; PMCID: PMC10516530.
  4. Leyendecker JR. "Gadoxetate Disodium for Contrast Magnetic Resonance Imaging of the Liver." Gastroenterol Hepatol (N Y). 2009 Oct;5(10):698. PMID: 37967420; PMCID: PMC2886366.
  5. Shah PK, Kafer IA, Grimaldi GM. "Incidental Hepatic Lesions Detected on Breast MRI: Rate of Malignancy and Implications for Utilization." Clin Imaging. 2018 Sep-Oct;51:93-97. DOI: 10.1016/j.clinimag.2018.02.001. Epub 2018 Feb 6. PMID: 29452924.
  6. Hoang JK, Langer JE, Middleton WD, Wu CC, Hammers LW, Cronan JJ, Tessler FN, Grant EG, Berland LL. "Managing incidental thyroid nodules detected on imaging: white paper of the ACR Incidental Thyroid Findings Committee." J Am Coll Radiol. 2015 Feb;12(2):143-50. DOI: 10.1016/j.jacr.2014.09.038. Epub 2014 Nov 1. PMID: 25456025.